不连续毛细血管

  • 定义
    与连续毛细血管相比,许多毛细血管的内皮层存在结构变异。
  • 分类
    根据管径规则性、内皮细胞的排列及相互关系、基底膜形态,不连续毛细血管可分为三类:
有孔毛细血管
有孔毛细血管与连续毛细血管管径同样规则,其特征是内皮细胞上存在大量轮廓规整的穿孔。
这些穿孔(孔道)可分为:
     - 完全开放型 (如肾脏)
     - 或由隔膜封闭型( 肠绒毛 、脉络丛、 睫状突 )。
基底膜始终连续,且在 肾脏 中具有特殊形态。
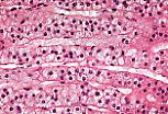
血窦型毛细血管
血窦型毛细血管是 内分泌腺 的特征性结构(如图示的 肾上腺皮质 甲状腺 胰岛 等),管壁菲薄;管径较粗且切面不规则,贴合周围上皮细胞间的游离间隙形态。
内皮细胞有孔,细胞间连接不规则(存在裂隙),基底膜完整包绕。这些细节在光镜下不可见。

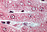
血窦(肝血窦 - 骨髓血窦)

血窦管径极不规则,孔道大小不一,分离的内皮细胞间存在不连续区域,基底膜常不连续。
此类毛细血管分布于:
     - 肝脏 (如图所示)
     - 骨髓
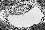
透射电镜(M.E.T.)下的肝血窦形态。
扫描电镜(M.E.B.)更能清晰显示肝血窦的管径不规则性及不连续区域的随机分布特征。