肾上腺
|
|
|
|
这是一例尸检获取并纵切为两半的肾上腺,大体观察可见两个不同的组成部分:外周部即 肾上腺皮质 ,呈黄色(含脂质);中央部为 肾上腺髓质 ,呈灰粉色。 |
|
|
肾上腺髓质分泌的儿茶酚胺(肾上腺素和去甲肾上腺素)经重铬酸钾处理后呈棕色显色。仅肾上腺髓质会被该方法染色。 |
|
|
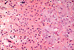
肾上腺皮质从外周向中央依次分为三个同心排列的带区: 球状带 、 束状带 和 网状带 。 |
|
|
肾上腺皮质由分泌性细胞索构成:球状带的细胞索呈弧形或十字形排列,束状带的细胞索呈平行排列,网状带的细胞索相互连接成网状。各细胞索之间由
血窦毛细血管
分隔。
与所有内分泌腺一样,肾上腺皮质的结缔组织成分极少。 |
|
|
球状带 处的内分泌细胞相对较小,细胞质略呈嗜酸性,含少量脂滴。该带细胞分泌盐皮质激素。 |
|
|
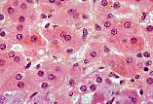
束状带
与球状带的细胞索相延续,是肾上腺皮质三个带区中最厚的部分。
该带的细胞排列成相对平行的细胞索,且与腺体表面垂直。 位于细胞索之间的 血窦毛细血管 也呈相同的放射状排列。这些毛细血管有时相互贴合,可通过其内皮细胞的长梭形细胞核加以区分。 |
|
|
束状带的内分泌细胞比球状带的细胞体积更大、脂滴更丰富,因此在常规组 织切片中呈现出泡沫细胞的形态。这些细胞分泌糖皮质激素和雄性性激素类类固醇。 |
|
|
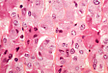
网状带
较薄,是肾上腺皮质最深层的结构。
该带的细胞索失去平行排列的特征,相互吻合形成网状结构。 其细胞含少量脂滴,但富含脂褐素色素,因此外观颜色更深。这些细胞分泌糖皮质激素和雄性性激素类类固醇。 |
|
|
该图像显示了网状带细胞中可见的脂褐素色素。 |
|
|
人类肾上腺皮质与髓质的分界极不规则,网状带的细胞索可伸入髓质内。
髓质内可见大量收集静脉,其管壁含有纵行的平滑肌束。这些静脉引流整个髓质实质的血液,同时也接收流经皮质并含有肾上腺皮质激素的血液。 |
|
|
肾上腺髓质的内分泌细胞分为两种类型:体积较大、细胞质浅染的嗜铬细胞,以及体积较小、颜色较深的透明嗜铬细胞(相当于节后神经元)。 |