胰腺

  • 位置
    胰腺位于腹膜后,占据十二指肠框与脾门之间的间隙。
  • 功能
    胰腺实质包括外分泌部(占99%,由浆液性腺泡构成)和内分泌部(占实质的1%,由朗格汉斯胰岛构成)。
    • 外分泌胰腺分泌消化酶(淀粉酶、脂肪酶、胰蛋白酶原、糜蛋白酶原等); 这些酶通过树枝状分支的排泄管系统汇入主胰管(Wirsung管),主胰管与胆总管汇合后开口于十二指肠。
    • 内分泌胰腺主要分泌胰岛素、胰高血糖素、生长抑素和胰多肽; 这些激素直接排入滋养胰腺的大量血窦状毛细血管中。
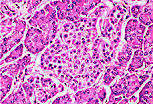
  • 观察内容

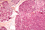
总体结构

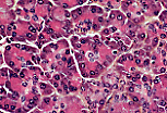
胰腺被薄层结缔组织被膜包绕,被膜发出的结缔组织隔将胰腺分隔为叶和小叶。
胰腺的外分泌部由浆液性腺泡构成,而内分泌部则以朗格汉斯胰岛的形式存在。

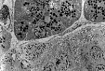
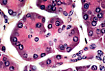
外分泌胰腺

胰腺腺泡为浆液性分泌单位,无肌上皮细胞;腺泡腔中可见泡心细胞。
该视野显示胰腺腺泡的细节:
浆液性腺泡细胞基底部细胞质呈嗜碱性(合成装置发达),顶端聚集嗜酸性的分泌颗粒。
泡心细胞仅能清晰看到细胞核,是闰管的起始部分。
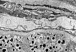
透射电镜(MET)下观察胰腺腺泡,泡心细胞清晰可见; 其淡染的细胞质与充满酶原颗粒的浆液性腺泡细胞形成鲜明对比。
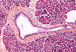
闰管是直接起源于腺泡的排泄管道,管腔狭窄,衬覆单层立方上皮。
闰管相互融合,形成管径更大的管道,先为小叶内导管,后为小叶间导管。
粗大的小叶间导管管腔宽大,衬覆单层柱状上皮; 这些导管走行于结缔组织隔内,最终汇入主胰管(Wirsung管)。
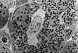
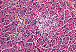
内分泌胰腺
构成内分泌胰腺的朗格汉斯胰岛是散在于外分泌实质中的球形小体, 其染色更浅,与外分泌部形成明显对比。
每个胰岛相当于一个 微型内分泌腺 : 细胞排列成不规则的吻合索状,周围包绕着致密的 血窦状毛细血管网
透射电镜下可轻松区分胰腺内分泌细胞与浆液性腺泡细胞:
浆液性腺泡细胞可通过酶原颗粒和腺泡状排列识别;
胰岛内排列成索状的内分泌细胞细胞质更浅,细胞核居中。
胰腺每种内分泌细胞都有特征性的分泌颗粒,可在透射电镜下识别: 例如,分泌胰岛素的β细胞(β细胞)的颗粒内有致密的、常呈几何形态的核心,核心周围有透明间隙。
也可通过免疫组织化学方法更简便地鉴别胰腺内分泌细胞。