甲状腺

总体结构

甲状腺被结缔组织被膜包裹,被膜发出纤细的隔片,将实质不完全地分隔成小叶。与所有内分泌腺一样,甲状腺的结缔组织间质虽少,但血供丰富( 血窦毛细血管 )。
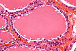
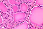
甲状腺实质由大小不等的甲状腺滤泡构成,滤泡多呈球形,因相互挤压常形态不规则,其大小随分泌活性状态而变化。
每个甲状腺滤泡均由单层上皮细胞围成,这些细胞(甲状腺滤泡上皮细胞)贴附于基膜上,环绕着充满胶质的滤泡腔。这种嗜酸性物质由分泌物(甲状腺球蛋白以及甲状腺激素T3和T4)组成。甲状腺是唯一能储存自身激素的内分泌腺。

甲状腺滤泡上皮细胞
同一滤泡内的甲状腺滤泡上皮细胞,其形态和大小可随分泌活性程度不同而变化。

静息状态下,这些细胞呈扁平状。
处于分泌活性状态时,甲状腺滤泡上皮细胞因合成装置发育而体积增大。
活化的甲状腺滤泡上皮细胞通过吞噬作用摄取储存在胶质中的产物,经最终的结构修饰后,释放至 滤泡周围血窦毛细血管 中。 在该活性阶段,常可在甲状腺滤泡上皮细胞顶端观察到胶质吸收空泡(胶质内的空泡)这一人工假象。

亮细胞(C细胞/降钙素细胞)

亮细胞(也称为C细胞或降钙素细胞)是甲状腺的第二种内分泌细胞。这类细胞的细胞质浅染但体积较大,可见于滤泡上皮与基膜之间。
亮细胞可聚集形成细胞团。
某些动物体内的亮细胞数量尤为丰富。
这类细胞分泌降钙素。