肾
| 肾实质的一般结构 | ||
|
|
这张通过兔肾门区的额状切面可以区分肾实质中的两个区域:一个称为皮质的深色外周区和一个称为髓质的苍白中央区,后者被分隔成多个马尔皮基氏锥体。
一个马尔皮基氏锥体和与其相对应的皮质实质构成一个肾叶。 |
|
肾单位
|
||
|
|
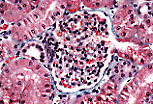
马尔皮基氏小体由一个毛细血管丛(肾小球)及其包裹的囊(鲍曼氏囊)组成。鲍曼氏囊包括一个壁层和一个紧贴毛细血管的脏层。两层之间有一个空间,即肾小球囊腔。
可以形象地理解为,毛细血管丛像拳头一样塞入鲍曼氏囊中。 |
|
|
|
毛细血管丛构成一个
奇网毛细血管
,因为它是在两条小动脉(入球小动脉和出球小动脉)之间发育的。
小动脉进出区域构成肾小球的血管极。在常规染色下,无法区分入球小动脉和出球小动脉。 |
|
|
|
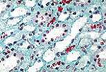
在这张来自无盐饮食小鼠的肾脏切片中(肾素-血管紧张素系统激活),入球小动脉特有的颗粒细胞增生。它们含有肾素的分泌颗粒被甲苯胺蓝显示出来。 | |
|
|
PAS染色(过碘酸希夫染色)标记了肾小球毛细血管丛的基膜以及鲍曼氏囊壁层的基膜。 | |
|
|
与血管极(小动脉进出点)相对,马尔皮基氏小体有一个尿极,近曲小管由此开始,这是肾单位尿液部分的起点。 | |
|
|
血管极和尿极并不总是在组织切片上观察到的马尔皮基氏小体中显现。通过赤道面的切面无法识别它们。 | |
|
|
在半薄切片(丙烯酸树脂包埋)上,构成马尔皮基氏小体的三种细胞群比石蜡切片上更清晰可辨。
可以识别出足细胞(囊的脏层)、毛细血管的内皮细胞以及位于毛细血管之间的系膜细胞。一些血细胞占据毛细血管腔。 |
|
| 扫描电子显微镜观察 | ||
|
|
壁层和脏层被肾小球囊腔分隔开。在中央,可以识别出 毛细血管丛(肾小球) 。 | |
|
|
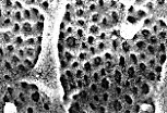
在这个用扫描电镜观察的另一个肾小球中,鲍曼氏囊的壁层已经消失。
脏层的足细胞覆盖着裸露的肾小球丛。 |
|
|
|
足细胞包括一个细胞体,从细胞体发出分支突起:小梁。这些小梁垂直于其长轴发出细小的突起,称为足突。
一个足细胞的足突与相邻足细胞的足突相互嵌合。 滤过上皮裂孔分隔着相互交叉的足突。 |
|
|
|
此图详细展示了足细胞相互交叉的小梁和足突,它们被滤过上皮裂孔隔开。 | |
|
|
在这张扫描电镜观察的肾小球样本中,可以分辨出一些毛细血管,其管壁严重破损,使衬贴其管腔的内皮可见。 | |
|
|
在这个样本中,可以分辨出一些管壁破损的毛细血管,使衬贴其管腔的内皮可见。 | |
| 透射电子显微镜观察 | ||
|
|
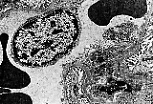
在这张显微照片中,可以观察到壁层的一个扁平细胞、肾小球囊腔以及两个足细胞,其足突紧密贴附在三个有孔毛细血管的基膜上。
滤过从血管向肾小球囊腔方向进行,穿过肾小球滤过膜。 |
|
|
|
此图有助于说明实现肾小球滤过的结构,即:
- 内皮细胞窗孔, - 基膜, - 足细胞足突之间的上皮裂孔。 |
|
|
|
肾小球毛细血管的基膜
较厚,可分为三层:
- 与 有孔内皮 紧贴的内疏松层, - 致密层, - 足细胞足突附着的外疏松层。 滤过裂孔部分被一层称为滤过裂孔隔膜或裂孔膜的膜所占据。 |
|
|
|
这张透射电镜下的另一张电子显微照片显示了一个系膜细胞。其细胞质直接贴附在下方有孔毛细血管的内皮上。 | |
|
肾小管
- 定义 - 功能 - 近端小管 - 远端小管 - 细段 - 致密斑和球旁器 - 贝里尼氏管(集合管) - 乳头管 |
||
|
定义 - 功能
肾小球超滤液在肾小管的尿极离开肾小球囊腔;在此处,它进入肾小管,其成分将因各种重吸收和分泌而改变。 肾小管可分为三个形态不同的节段:近端小管、细段和远端小管。 |
||
|
|
在尿极,可以观察到鲍曼氏囊壁层的扁平上皮与近端小管的柱状上皮之间的连续性。 | |
| 近端小管 - 远端小管 | ||
|
|
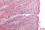
这里展示了肾小管的两个节段的纵切面:一个近端小管节段和一个远端小管节段。
直接源自马尔皮基氏小体的近端小管的特点是管腔狭窄,由嗜酸性柱状单层上皮细胞构成,其顶端有刷状缘以增加交换面积,其基底极有基底纵纹,表明存在大量膜褶皱和线粒体,这是重要离子交换的标志。 远端小管的管腔较大。其立方细胞比邻近的近端小管细胞明显更不嗜酸,顶端没有刷状缘分化。它们的侧边界不太明显,但同样具有基底膜褶皱。然而,这些褶皱不那么显著。 |
|
|
|
一个近端小管节段和一个远端小管节段在此以横切面呈现。 | |
|
|
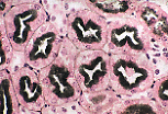
此PAS染色突出显示了:
- 围绕肾小管的基膜, - 近端小管的刷状缘。 |
|
|
|
近端小管的刷状缘富含碱性磷酸酶。 | |
|
|
扫描电镜观察下的近端小管管壁。
刷状缘由微绒毛构成。 基底极由褶皱构成,这些褶皱与邻近细胞的褶皱相互嵌合。 上皮细胞位于均质的基膜上。 |
|
| 细段 | ||
|
|
细段,也称为髓袢细段,是连接近端小管和远端小管的肾小管部分。
其管壁由扁平上皮构成,与周围的毛细血管上皮相似。血细胞的存在有助于将它们与细段区分开。 |
|
|
致密斑和球旁器
肾小管的远端小管段在肾实质内经过很长的路径后,回到其起源的肾小体所在位置。它紧贴在血管极,在入球小动脉和出球小动脉构成的叉口处。 |
||
|
|
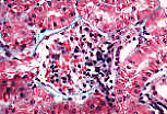
紧贴肾小球的远端小管部分称为致密斑。其特征是在血管极对面的细胞体积增大。
这些致密斑细胞,与系膜细胞和入球小动脉的颗粒细胞一起,构成球旁器。这个复合体调节肾素-血管紧张素系统。 |
|
|
|
贝里尼氏管由多个远端小管汇合而成。它收集多个肾单位的尿液。
位于髓质中,其上皮由立方细胞构成,细胞界限清晰,顶端常略微凸起,细胞质透亮。 |
|
|
|
这个贝里尼氏管的横切面显示了核周的亮晕(胞浆内糖原聚集)。 | |
| 乳头管 | ||
|
|
多个贝里尼氏管汇合形成乳头管,其内衬为狭窄、细胞质淡染的柱状细胞。 | |
|
|
乳头管 开口于肾盏 ,位于马尔皮基氏锥体顶部(乳头)。 | |
|
|
尿孔是乳头管的开口。
在此处,乳头管的单层柱状上皮延续到肾盏的乳头侧。它逐渐呈现假复层尿路上皮的形态。 |
|