毛细淋巴管

  • 管壁结构
    • 毛细淋巴管的结构与微静脉相近,但存在以下几方面区别:
      • 起源为盲端;
      • 管径更大且不规则,常扁平呈裂隙状;
      • 管腔内为淋巴液(正常情况下无红细胞);
      • 内皮细胞常不连续,基底膜为不完整的薄层;
      • 无结构化的外膜。
    • 与微静脉相同,毛细淋巴管也具有防止淋巴液逆流的瓣膜。(淋巴系统内的淋巴液流动完全是被动的,由肌肉群的运动推动。)

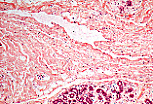
毛细淋巴管的管径变化极大。
在组织切片上,它们表现为结缔组织内由内皮细胞围成的裂隙状结构。
管腔内常可见嗜酸性的淋巴液和白细胞。

内皮细胞核排列不规则,管腔内可见瓣膜。
由于缺乏结构化的内皮周围结缔组织,可在切片上区分毛细淋巴管与微静脉。

毛细淋巴管其他相关图像

皮肤毛细淋巴管
乳腺内的毛细淋巴管
输卵管内的毛细淋巴管
肝门管区内的毛细淋巴管