非妊娠非哺乳期生育期乳腺
|
|
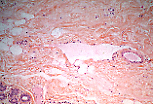
这张非妊娠非哺乳期乳腺切片中,小叶间结缔组织成分多于上皮成分。
每个小叶内可见小叶内导管,其分支末端为盲端(腺泡)。 |
|
|
小叶内的小叶内导管及其末端膨大的分支(腺泡),被称为小叶旁疏松结缔组织的结构包绕。
小叶间结缔组织的纤维含量多于小叶旁结缔组织。 |
| 小叶内导管与腺泡 | |
|
|
小叶旁结缔组织除含疏松结缔组织成分外,还具有丰富的血管分布。
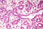
组织切片上,纵切面的小叶内导管易识别,但在组织切片(C.T.)中无法区分小叶内导管与腺泡末端,因二者管壁结构相同。 |
|
|
小叶内导管和腺泡的管壁由两层细胞构成:内层为柱状上皮细胞,外层为肌上皮细胞(因富含糖原,在月经周期不同阶段有时呈明显淡染)。 |
| 小叶内与小叶间导管 | |
|
|
小叶内导管汇合形成小叶间导管(每个腺叶1条),最终通向乳头。 |
| 血管分布 - 淋巴引流 | |
|
|
乳腺具有丰富的血管分布,且有大量淋巴管( 毛细淋巴管 和 淋巴管 )引流。 这些淋巴管在小叶间结缔组织中尤为明显。 |