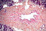
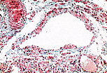
淋巴管集合管

  • 定义
    淋巴管集合管由毛细淋巴管汇合而成。
  • 管壁结构
    其管壁包含三层分界不清晰的膜结构。
    • 内层常因瓣膜隆起,仅由内皮和基底膜构成。
    • 中层为结缔组织(+++)-肌层(+),其中平滑肌细胞呈斜向或纵向的柱状排列。
    • 外层较薄,含少量结构疏松的胶原纤维束和弹性纤维束。
该集合管管壁的三层特征性膜结构分界不清晰。
平滑肌细胞在中层呈柱状排列,因此中层并未形成连续的肌鞘。这一特征可用于区分淋巴管集合管与血管(肌性动脉、肌性静脉)。
瓣膜由内层全层折叠形成(与静脉系统相同)。
肌纤维束在中层呈斜向排列。
粗大的淋巴管集合管(有时称为淋巴干)的中层含更多平滑肌细胞,但这些细胞的排列方向始终不完全呈环形。