-
特征
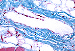
皮肤血液供应的一个特征是存在
动静脉吻合
,这种结构可绕过表层毛细血管网,从而实现高效的体温调节。
-
观察内容
|
|
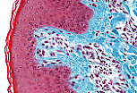
乳头毛细血管网
|
|
真皮乳头内
含有来自浅部动脉丛的表层毛细血管网。
|
|
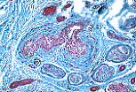
马松神经血管球
|
|
马松神经血管球
是皮肤肢体末端特有的动静脉吻合结构。
在指腹部位,该结构发育尤为完善:血管球可通过其迂曲的走行、狭窄的管腔,以及由淡染上皮样细胞构成的中膜来识别。
|
|
淋巴引流
|
|
皮肤浅层可见大量
毛细淋巴管
,它们在此承担重要的引流功能。
这张猪的
皮下组织
标本中,可见初级脂肪细胞与次级脂肪细胞混合存在。
|