马松神经血管球
|
定义 - 功能
皮肤内存在 动静脉吻合 结构,这类结构参与机体的体温调节:即马松神经血管球。 当其闭合时,血液被导向皮下毛细血管网,通过辐射方式增加血液的热量散失;当其开放时,血液绕过毛细血管床,减少血液的热量散失。 |
|
|
|
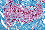
马松神经血管球位于皮肤内(此处为手掌皮肤),分布在真皮中层,与汗腺处于同一水平位置。 |
|
|
在该切片上可清晰观察到动静脉吻合的三个特征性分段:
- 动脉段, - 中间段(血管球段), - 静脉段。 该结构富含神经支配。 |
|
|
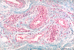
血管球(中间段)是一种管腔狭窄、走行迂曲的血管,这也是在组织切片上能看到其多个切面的原因。 |
|
|
血管球的管壁由内皮(基底膜在此处不可见)和中膜构成;中膜由体积大、胞质透亮的肌细胞——血管球细胞组成。 |
|
|
血管球的中膜比其起源动脉的中膜更发达。正是血管球中膜的收缩或舒张,调控着动静脉吻合的闭合与开放。 |
| 马松神经血管球其他相关图像 | 手掌皮肤内的马松神经血管球 |