神经组织的总体示意图结构
| 神经元及其突起与支持成分( 中枢神经系统 为神经胶质细胞, 周围神经系统 为神经胶质细胞和结缔组织)的排列方式,会因所观察的部位不同而有所差异。 | |
|
中枢神经系统
宏观上,中枢神经系统各部位的切面均包含灰质和白质。灰质是神经元胞体(核周体)所在区域,而白质则是神经纤维通行的区域。髓鞘中的脂质是白质呈现白色的原因。 下文将展示 脊髓 和 小脑 的相关结构。 |
|
| 脊髓 | |
|
|
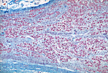
脊髓是位于脊柱中央椎管内的神经组织圆柱。横切面上可见两部分:外周染色较浅的白质,以及中央呈蝴蝶形、染色较深的灰质。灰质以室管膜管为中心,脑脊液在管内循环。 |
|
|
此放大视图可识别出 室管膜细胞 (属于中枢上皮型神经胶质细胞),这些细胞衬于室管膜管内壁;灰质中可见富含嗜碱性尼氏小体的神经元胞体(核周体/细胞体)(示例: 运动神经元 )。白质则由轴索构成,这些轴索被少突胶质细胞突起缠绕形成的髓鞘包裹。 |
|
|
有髓鞘包裹的轴索构成 中枢无施万细胞有髓神经纤维 。在横切(CT)下,其表现为白色环状结构(髓鞘被常规技术溶解),中央或偏心处可见粉色小点(轴索)。无髓鞘包裹的轴索相互紧贴,在纵切(CL)下呈线条状,横切(CT)下呈簇状小点:即 中枢无施万细胞无髓神经纤维 。白质中的细胞核属于中枢间质型神经胶质细胞。 |
|
|
在灰质中,神经元胞体(核周体)被纤维状物质包围,该物质在多米尼奇染色(甲苯胺蓝染嗜碱性结构,伊红染胞质)下呈嗜酸性,且质地相对均匀,即神经毡。神经毡对应神经细胞和胶质细胞胞质突起相互交织的区域,其中可见的细胞核属于 中枢间质型神经胶质细胞 (星形胶质细胞、少突胶质细胞、小胶质细胞)。 |
| 小脑 | |
|
|
切面下,小脑呈现分支状结构。它由中央分支状的白质轴芯和覆盖其表面的灰质层(小脑皮质)构成。
此HES染色切片还显示了脑干的一部分(小脑位于其后方),以及附着于小脑附近脑室壁的脉络丛结构。 |
|
|
此视图显示小脑皮质形成的深褶皱,这些褶皱由中央分支状的白质支撑。
小脑皮质的灰质分为两层:外层嗜酸性的分子层,以及内层嗜碱性的颗粒层(粒层)。 |
|
|
分子层主要由神经细胞突起构成,包含相对少量的神经元胞体(核周体)和胶质细胞。相反,颗粒层细胞密集,因此富含小神经元胞体(核周体)和胶质细胞的细胞核(即“颗粒”)。颗粒层下方是包含有髓神经纤维的白质。 |
|
|
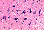
在两层灰质之间,分布着体积较大、经染色(嗜碱性尼氏小体)的 浦肯野细胞 胞体(核周体),这些细胞拥有大而清亮的细胞核,且核仁明显。这类神经元的特征是具有高度分支的树突,这些树突在分子层中呈单层排列,但在此标本中难以观察到;其轴突同样难以识别,朝向颗粒层延伸。 |
|
|
脉络丛(负责脑脊液的分泌)。每个脉络丛由结缔组织-血管轴芯和覆盖其表面的立方上皮细胞层( 脉络丛细胞 )构成。这些细胞属于中枢上皮型神经胶质细胞。 |
|
周围神经系统
周围神经系统由神经和神经节组成。 神经 是由结缔组织支撑的神经纤维束(感觉或运动型、有髓或无髓)。穿行于神经中的神经纤维,其神经元胞体(核周体)或位于中枢神经系统灰质内,或位于周围神经系统的神经节中。后者可为感觉神经节(如脊神经节,含“T”形假单极神经节细胞),或包含负责非自主活动的植物性神经元胞体(核周体)( 交感神经节 或 副交感神经节 )。 |
|
| 交感神经链神经节 | |
|
|
神经节聚集了周围神经元的胞体(核周体)(神经节细胞),表现为神经走行路径上的结节状膨大。其被致密结缔组织包裹,该结缔组织与相连周围神经的神经束膜相延续。 |
|
|
神经节细胞 的胞体(核周体)浸润于结缔组织基质中,基质内有大量传入或传出神经纤维穿行(这些纤维源自神经节细胞或仅穿过神经节)。轴索表现为嗜酸性“细丝”束,彼此间由少量结缔组织分隔。这些纤维多为施万细胞性无髓神经纤维。 |
|
|
神经节细胞是识别神经节的关键结构,其特征为:大细胞核、染色质弥散、核仁清晰可见,且胞质丰富(含尼氏小体)呈嗜碱性。
神经节卫星细胞 (周围神经胶质细胞)紧密贴附于神经节细胞表面。 |
| 副交感神经链神经节 | |
|
|
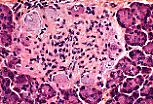
胰腺壁内的副交感神经节。神经节细胞可通过以下特征识别:大细胞核、染色质弥散、核仁清晰可见,且胞质丰富(含尼氏小体)呈嗜碱性。周围神经胶质细胞中的神经节卫星细胞紧密贴附于其表面。神经节细胞与神经纤维相互交织。 |
| 周围神经 | |
|
|
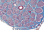
坐骨神经(大直径神经)的纵切(CL)视图,由多个施万细胞性神经纤维束构成(多数为有髓纤维)。
每个纤维束内,单根神经纤维被少量疏松结缔组织(神经内膜)包裹;每个纤维束被板层状致密结缔组织(神经束膜)包裹;最后,纤维状-脂肪性疏松结缔组织(神经外膜)将各纤维束连接在一起,并在其外周浓缩形成共同包膜。 |
|
坐骨神经(大直径神经)的横切(CT)视图。构成神经的神经纤维束呈横切状态,每个纤维束被板层状结缔组织(神经束膜)包裹。神经外膜将各纤维束连接,并在其外周浓缩形成共同包膜。 |