神经纤维
|
神经纤维由神经细胞的胞质突起(轴索,包括轴突或树突)构成,这些突起可被不同髓鞘包裹或无包裹。
在周围神经系统(PNS) 中,所有轴索均被神经胶质细胞(施万细胞)包裹。当轴索仅嵌入施万细胞胞质中时,这类神经纤维称为施万细胞性无髓神经纤维;当轴索被施万细胞膜缠绕形成的髓鞘包裹时,则称为施万细胞性有髓神经纤维。 在中枢神经系统(CNS) 中,髓鞘形成过程与周围神经系统类似,但髓鞘由少突胶质细胞膜缠绕形成,这类神经纤维称为中枢无施万细胞有髓神经纤维。中枢神经系统的无髓神经纤维无特异性细胞支持,称为中枢无施万细胞无髓神经纤维。 |
|
| 在经多米尼奇染色(甲苯胺蓝染嗜碱性结构,伊红染胞质)的 脊髓 白质中,可观察到无施万细胞神经纤维。中枢无施万细胞有髓神经纤维在横切(CT)下表现为白色环状结构(髓鞘被常规组织制备技术溶解),环内包裹中央或偏心位的轴索(伊红染成粉色小点)。中枢无施万细胞无髓神经纤维的无包裹轴索位于灰质中,彼此紧密相邻;纵切(CL)下呈伊红染色的粉色线条,横切(CT)下呈伊红染色的簇状小点。 | |
|
|
经银染处理后,神经纤维的轴索更易观察。银染可显示轴索中含量丰富的细胞骨架(神经原纤维)。 |
|
周围神经系统的施万细胞性有髓及无髓神经纤维
- 光镜下纵切的施万细胞性无髓神经纤维 - 光镜下纵切的施万细胞性有髓神经纤维 - 光镜下横切的施万细胞性无髓及有髓神经纤维 - 电镜下的施万细胞性无髓及有髓神经纤维 - 郎飞结 |
|
| 光镜下纵切的施万细胞性无髓神经纤维 | |
|
|
纵切(CL)下,施万细胞性无髓神经纤维表现为一束纤细的轴索,彼此紧密相邻且被伊红染成粉色。每根纤维均被少量结缔组织(神经内膜)包裹。穿行于这些神经纤维中的细胞核属于施万细胞,或可能为神经内膜的成纤维细胞。 |
| 光镜下纵切的施万细胞性有髓神经纤维 | |
|
|
纵切(CL)的施万细胞性有髓神经纤维中,轴索作为胞质突起被伊红染成粉色,孤立于白色区域(髓鞘)中央。髓鞘由施万细胞膜缠绕形成,主要成分为磷脂(在石蜡包埋时溶解)和蛋白质;脂质提取后蛋白质结构紊乱,沉淀形成粉色网格状结构,即神经角蛋白网。髓鞘周边的细胞核属于施万细胞,或可能为神经内膜的成纤维细胞。 |
|
|
施万细胞围绕轴索缠绕并使相邻膜层贴合时,其胞质被挤向细胞两端。但髓鞘内仍残留施万细胞质通道:即鱼钩状的施-兰切迹(Schmidt-Lantermann切迹)。这些切迹连接髓鞘外的施万细胞质(施万鞘)与髓鞘内的施万细胞质(莫特纳鞘,Mauthner鞘)。 |
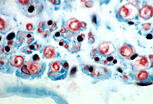
| 光镜下横切的施万细胞性无髓及有髓神经纤维 | |
|
|
横切(CT)下,施万细胞性有髓神经纤维呈靶心状:中央或偏心位的轴索、髓鞘溶解后形成的白色环、外周嗜酸性的施万细胞质环。施万细胞性无髓神经纤维表现为嗜酸性小点簇(轴索)。细胞核属于施万细胞,或可能为包裹每根神经纤维的神经内膜成纤维细胞。 |
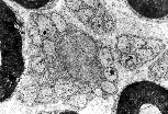
| 电镜下的施万细胞性无髓及有髓神经纤维 | |
|
|
电镜(MET)下,施万细胞性有髓神经纤维的横切显示:轴索内含神经微管和线粒体,被髓鞘包裹;髓鞘电子密度高,由多层缠绕的施万细胞膜构成。
此切面经过包裹轴索的施万细胞核区域。 神经内膜的胶原纤维将该神经纤维与邻近的有髓/无髓神经纤维分隔开。 |
|
|
电镜(MET)下,施万细胞性无髓神经纤维的横切显示:施万细胞膜内陷形成凹陷以容纳轴索;这些轴索仅嵌入施万细胞胞质中,因此被施万细胞膜和胞质包裹。细胞膜(通过外蛋白层)贴合封闭形成的凹陷称为轴系膜(mésaxone)。 |
|
|
图示为周围神经系统(PNS)内的施万细胞性神经纤维,彼此由胶原纤维分隔。
施万细胞性有髓神经纤维中,一个施万细胞仅包裹一根轴索;而施万细胞性无髓神经纤维中,一个施万细胞的胞质内可嵌入多根轴索。 |
|
|
施万细胞核外区域的施万细胞性有髓神经纤维横切。
轴索内的所有细胞器均属于神经元;髓鞘外的细胞器则属于施万细胞。施万细胞缠绕的起始和终止部位分别为内轴系膜和外轴系膜。 |
|
|
此高倍视图显示致密髓鞘层内无施万细胞质。深色线条为周期性致密线(由胞质膜层贴合形成);这些线条间可见更纤细的内周期间致密线(代表贴合的外膜层)。 |
| 郎飞结 | |
|
|
图示郎飞结(中心呈“X”形,嗜酸性轴索从中穿过)。
沿神经纤维走行,髓鞘由多个施万细胞合成,每个施万细胞包裹轴索的一个节段。郎飞结是相邻施万细胞之间无髓鞘的狭小间隙。 |
|
|
电镜(MET)显示郎飞结处髓鞘中断。
每一层缠绕的最内层周期性致密线分裂为两层膜:胞质膜层未贴合,形成梨形膨大结构,内含施万细胞在膜层中央贴合时被挤向细胞两端的胞质。 |
|
|
此高倍放大视图可明确梨形膨大结构的膜与周期性致密线的相对位置。 |