周围神经与副交感神经节
| 本页面汇集了经经典三色染色法处理的 周围神经 及小型 副交感神经节 标本图像。 | |
|
周围神经
小型周围神经通常仅由单一神经纤维束构成,外包神经束膜(板层状结缔组织,包裹神经束)。神经束内,每条神经纤维的断面均由薄层结缔组织(神经内膜)包裹。 |
|
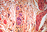
| 经绿色三色染色的皮肤真皮内神经:一条横切(CT)、一条纵切(CL),均由神经束膜界定。神经束膜内,神经纤维被神经内膜包裹;神经纤维的切面方向与神经干一致。细胞核属于包绕轴索的施万细胞,或可能为神经内膜的成纤维细胞。 | |
|
舌体骨骼肌附近的横切(CT)周围神经,经蓝色三色染色。
板层状神经束膜界定神经纤维束;束内每条神经纤维均被神经内膜包裹(苯胺蓝将其染为蓝色)。 |
|
|
|
舌体内的纵切(CL)神经,经苏木精-伊红-固绿(HES)染色,可见神经纤维典型的波浪状形态。 |
|
|
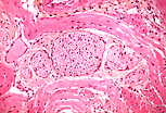
舌体内的横切(CT)神经,经HES染色:每条神经均由板层状神经束膜界定;束内每条神经纤维单独被神经内膜包裹;髓鞘呈白色环状,是此类神经的特征性结构。 |
|
|
透射电镜(MET)下观察的周围神经:由多根施万细胞包绕的神经纤维组成,整体被神经束膜包裹(本图中神经束膜仅显示成纤维细胞的胞质突起)。每条神经纤维均被横切的胶原纤维环绕,这些胶原纤维属于神经内膜。 |
|
周围神经节
神经节由神经节神经元聚集而成,这些神经元沉浸于富含神经纤维的结缔组织基质中;神经节的核心识别特征即这些神经元的存在。 本页面展示的是 副交感神经节 ,主要分布于唾液腺结缔组织间隔、消化道器官肌层(两层平滑肌之间)等部位。 |
|
|
|
唾液腺结缔组织间隔内的神经节。
与所有神经元一致,神经节神经元可通过以下特征识别:体积大、圆形、染色浅的细胞核(核仁清晰可见),以及丰富的嗜碱性胞质(尼氏体)。神经节卫星细胞紧密贴附于这些神经元表面。神经节内,神经节神经元与神经纤维混合存在(每条纤维均被神经内膜包裹);神经节外周由类神经束膜的结缔组织界定。 |
|
|
经HES染色的小型神经节。
其识别特征为:神经纤维与若干典型神经节神经元相伴存在;包裹神经纤维的神经内膜胶原纤维被番红染为黄色。 |
|
|
经蓝色三色染色的神经节(苯胺蓝将胶原纤维染为蓝色)。
神经节神经元被周围神经胶质细胞(神经节卫星细胞)包绕,具备神经元的典型特征。 |