胶质细胞
| 胶质细胞(又称神经胶质细胞)为神经元提供机械支撑和代谢支持,根据其在神经系统中的定位,可分为 中枢神经胶质 和 周围神经胶质 两类。 | |
|
中枢上皮型神经胶质
构成上皮型神经胶质的 室管膜细胞 和 脉络丛细胞 排列成一层相邻的细胞,形态类似上皮细胞的排布方式。 |
|
| 室管膜细胞(室管膜胶质细胞)衬于中枢神经系统内脑脊液循环的腔室表面:如本图所示的 脊髓 室管膜管,同时也衬于脑室壁。这类细胞为柱状,其顶端通过连接复合体相连,顶端有纤毛和少量微绒毛;基底端延伸出丝状胞质突起,难以观察到。 | |
|
|
脉络丛细胞为立方形,细胞核呈球形且位于中央,覆盖于 脉络丛 表面(脉络丛是附着于脑室壁的结缔组织-血管结构)。脉络丛细胞顶端有微绒毛,参与脑脊液的生成。 |
|
中枢间质型神经胶质
构成间质型神经胶质的细胞分散于中枢神经系统的白质和灰质中。 根据胚胎起源,可将其分为大胶质细胞和小胶质细胞。 大胶质细胞起源于外胚层(与神经元相同),包括少突胶质细胞和 星形胶质细胞 。少突胶质细胞是中枢神经系统中施万细胞的同源细胞,负责形成髓鞘。 小胶质细胞起源于间充质,包括小胶质细胞(小胶质细胞)——中枢神经系统特有的巨噬细胞。 |
|
|
|
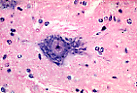
常规光镜(MO)技术难以清晰区分间质型神经胶质的不同类型,仅能识别其细胞核。例如本图中,在 脊髓 运动神经元胞体周围的神经毡(嗜酸性纤维状物质)中,可观察到这些细胞核。 |
|
|
对脑组织切片采用卡哈尔法(重金属浸染法)处理后,可显示出特征性星形外观的星形胶质细胞,其贴附于血管表面的胞质突起(血管足)清晰可见。血管-胶质-神经元单位通过星形胶质细胞调节血液与神经元之间的代谢交换。本标本中未观察到神经元。 |
|
周围神经胶质
周围神经胶质由包裹周围神经纤维轴索的 施万细胞 ,以及与神经节神经元胞体相连的 神经节卫星细胞 构成。 |
|
|
|
周围神经系统中纵切(CL)的有髓和无髓神经纤维,彼此由神经内膜(疏松结缔组织)分隔;在本蓝三色染色法中,神经内膜的胶原纤维被苯胺蓝染成蓝色。沿神经纤维分布的细胞核属于施万细胞,或可能为神经内膜的成纤维细胞。 |
|
|
周围神经系统神经纤维的横切(CT)视图。包裹轴索的施万细胞易于识别,神经内膜将各纤维彼此分隔开。 |
|
|
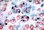
神经节卫星细胞仅能观察到细胞核,这些扁平细胞形成一层结构,包裹于神经节神经元胞体周围。神经节神经元可通过以下特征识别:体积大、圆形居中的细胞核(染色清亮,核仁清晰可见),且胞质丰富。 |