狭义结缔组织的细胞外基质
结缔组织纤维
-
基质
-
结构性和黏附性糖蛋白
|
结缔组织纤维
结缔组织纤维由成纤维细胞合成,由不同的纤维状蛋白构成,赋予其所在的结缔组织机械特性。 - I型胶原纤维 - III型胶原纤维(网状纤维) - 弹性纤维 |
|
| I型胶原纤维 | |
|
|
I型胶原
以纤维束形式排列,是皮肤(和骨组织)中的主要胶原类型。经绿色三色染色后,I型胶原被亮绿染为绿色(在蓝色三色染色中被苯胺蓝染为蓝色,在苏木精-伊红-藏红花染色中被藏红花染为黄橙色)。
胶原纤维通过抵抗施加在结缔组织上的拉伸力,赋予组织机械强度。 |
|
|
另一种三色染色法可特异性显示胶原纤维:即冯吉森(Von Gieson)染色法,其中I型胶原被染为红色,而细胞的胞质被染为黄色,细胞核被染为黑色。 |
|
|
透射电镜(MET)下,经负染色后,I型胶原纤维呈现明暗相间的横纹结构。这种横纹是由构成纤维的原纤维中胶原分子规律性错位排列所致。 |
| 网状纤维 | |
|
|
观察网状纤维(或III型胶原纤维)需采用维尔德(Wilder)银染法。这些网状纤维被染成黑色,因此被称为"嗜银纤维"。
在肝实质中,这些纤维形成网格状网络结构。 |
|
|
经维尔德银染法显示,在构成淋巴结支架的 网状组织 中也可见网状纤维。这些纤维形成的网络与合成它们的 网状细胞 网络相互对应。 |
|
|
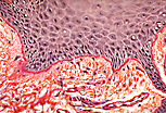
经维尔德银染法显示的表皮-真皮连接处的网状纤维。 |
|
|
经维尔德银染法显示的网状纤维构成了包裹每个平滑肌细胞的 透明鞘 。 |
|
|
经维尔德银染法显示的纤细网状纤维网络,包裹着 脂肪组织 中的每个脂肪细胞。 |
| 弹性纤维 | |
|
|
弹性纤维由弹性蛋白和原纤蛋白构成,常分散于胶原纤维之间。地衣红可特异性将弹性纤维染为棕色。在此皮肤真皮标本中,可观察到弹性纤维的纵切面和横切面。复染后胶原纤维呈黄色,细胞核呈淡紫色。
弹性纤维使组织在短暂拉伸后能够恢复其初始形态。 |
|
弹性膜由弹性纤维交织形成的筛网状薄片构成。弹性膜与
肌梭细胞
相伴存在,是大口径动脉(弹性动脉,如主动脉)的特征性结构。弹性膜呈波浪状,嗜酸性(被伊红染为粉红色等)。
弹性膜使这些弹性动脉能够在收缩压升高时发生暂时性变形。 |
|
|
|
经地衣红染色显示的主动脉壁中的弹性膜。 |
|
基质
基质是包绕结缔组织纤维和细胞的无定形区域,由糖胺聚糖(GAG)和蛋白聚糖构成。 糖胺聚糖和蛋白聚糖形成水合凝胶,使结缔组织具有膨压,能够抵抗压力(回弹性)。此外,这种水凝胶结构允许水溶性营养物质、代谢产物和废物的有效扩散,也允许外来细胞在结缔组织中迁移。 糖胺聚糖和蛋白聚糖在常规染色中不可见,但可通过PAS染色显示,尤其是在其集中分布的基膜区域。 |
|
|
|
皮肤中分隔表皮和真皮的表皮-真皮连接处的基膜呈PAS阳性。基膜表现为勾勒上皮组织的品红色线条,这种PAS阳性染色是由于基膜区域集中分布的硫酸乙酰肝素(一种蛋白聚糖)所致。 |
|
|
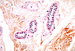
所有基膜均呈PAS阳性。例如:血管内皮下方的基膜(本图中为毛细血管),以及包绕外泌汗腺分泌单位的基膜。 |
|
|
另一个例子是汗腺管周围的基膜……(可通过双层立方上皮识别)。 |
|
结构性和黏附性糖蛋白
除结缔组织纤维和基质外,细胞外基质还含有非丝状糖蛋白,其主要作用是作为细胞黏附的中介。这些糖蛋白可被上皮细胞和结缔组织细胞表面整合素家族的特异性受体识别并结合。 免疫组织化学标记可用于分析这些糖蛋白的定位。 |
|
|
|
经特异性抗体标记后,层粘连蛋白定位于所有基膜区域。在这张舌组织切片中,可见黑色线条状的基膜:分隔表面上皮与下方结缔组织的基膜、血管内皮下方的基膜,以及包绕肌细胞的基膜。 |