狭义结缔组织的固有细胞
间充质细胞
-
成纤维细胞
-
脂肪细胞
-
网状细胞
|
间充质细胞
间充质细胞是胚胎 间充质组织 中未分化的固有细胞,可合成纤维少、基质丰富的细胞外基质。根据所处位置不同,这些细胞可分化为成纤维细胞、成肌细胞、成脂细胞、成软骨细胞或成骨细胞。 |
|
|
|
光镜(MO)下观察,间充质细胞在染色浅淡的细胞外基质中呈星芒状形态。 |
|
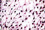
成纤维细胞
成纤维细胞通过合成细胞外基质的组成成分,维持纤维性结缔组织( 疏松型 和 致密型 )的结构与功能。 |
|
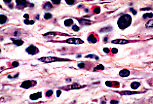
| 光镜下,成纤维细胞仅细胞核易于观察:染色致密,沿胶原纤维走向呈长梭形(此处胶原纤维被苯胺蓝染为蓝色)。核周胞质少,延伸为丝状突起,在光镜下难以分辨。 | |
| 透射电镜(MET)下可见成纤维细胞大量的胞质突起,因其长度较长,通常仅能看到片段。核周少量胞质中含有发达的粗面内质网,满足该细胞的合成功能需求。 | |
|
|
此图显示成纤维细胞在受损组织修复中发挥的积极作用。其形态特征反映了蛋白质合成活性:核大、核仁明显,胞质丰富且嗜碱性(对应发达的粗面内质网)。纤维稀少的细胞外基质使得成纤维细胞的丝状突起清晰可见。 |
|
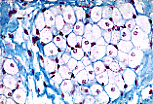
脂肪细胞
脂肪细胞分为两种类型:初级脂肪细胞和次级脂肪细胞。这类细胞在胞质中储存脂质,是 初级和次级脂肪组织 的主要细胞类型。此外,它们也可单个或成群分布于许多器官的疏松结缔组织中。 |
|
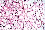
| 初级脂肪细胞的细胞核通常居中、圆形,胞质内含有大量不融合的脂滴。标本制作过程中脂滴溶解,使得这类细胞在普通光镜下呈现"海绵状"外观,因此也被称为"海绵细胞"。 | |
| 次级脂肪细胞含有一个巨大的脂滴,将胞质挤压为薄层环状,细胞核扁平位于其中。细胞的多角形外观是相互挤压所致。光镜下,石蜡包埋过程会将脂质提取出去。 | |
| 这张半薄切片经四氧化锇固定,保留了次级脂肪细胞的脂质成分,脂质被锇酸染为棕褐色。 | |
|
|
图中可见初级脂肪细胞与次级脂肪细胞混合分布。 |
|
网状细胞
网状细胞与其合成的网状纤维共同构成 网状组织 ,是淋巴结和脾脏的支架结构。 |
|
| 网状细胞为星芒状细胞,其突起与相邻网状细胞的突起相互连接,形成广泛的网络结构。该细胞网络外覆纤维网络(由 III型胶原构成的网状纤维 组成),但在本标本中不可见。 | |