细胞性结缔组织
脂肪组织
-
网状组织
-
间充质组织
-
纯细胞性结缔组织
|
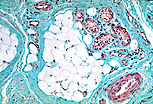
脂肪组织
脂肪组织有两种类型,由 脂肪细胞 聚集形成小叶构成。这些细胞及其周围的细胞外基质共同构成的组织可将脂质以甘油三酯的形式储存。 初级脂肪组织在成年人体内仅分布于少数部位(纵隔、肾周间隙、颊部的比沙氏颊脂体等),而在哺乳动物新生儿及冬眠动物体内更为丰富。该组织积极参与体温调节:其所含脂质的代谢过程可产生热量。 与之相反,次级脂肪组织广泛分布于全身,尤其在皮肤皮下组织中,是营养物质的储存库,同时可吸收机械冲击并起到隔热作用。 两种脂肪组织均由脂肪细胞紧密排列形成小叶,小叶之间由富含血管的结缔组织间隔分隔。 |
|
| 此为鸽子足部皮下组织中初级脂肪组织(棕脂)小叶的标本。初级脂肪细胞含有大量不融合的脂滴(在石蜡包埋过程中溶解),因此被称为"海绵细胞", 该脂肪组织也因此被称为 "多泡性"脂肪组织。 细胞核通常位于中央位置。每个脂肪细胞均被基膜和纤细的网状纤维网络包绕。 | |
| 此为人体皮肤皮下组织中次级脂肪组织(白脂)小叶的标本。在小叶内紧密排列的次级脂肪细胞呈多边形,胞质中含有巨大的脂滴, 将细胞核挤压至细胞周边,因此次级脂肪组织被称为 "单泡性"脂肪组织。 每个脂肪细胞均被基膜和纤细的 网状纤维 网络包绕。 | |
|
网状组织
网状组织构成淋巴器官(如脾脏和淋巴结)的支架,由双层网络结构组成: 网状细胞 形成的网络与这些细胞合成的 网状纤维 网络相互重叠。 |
|
|
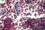
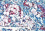
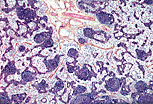
淋巴结是包被的豆状小器官,位于淋巴管通路上。淋巴结可过滤流经其中的淋巴液,并促进免疫反应的发生。
大体观察苏木精-伊红-藏红花(HES)染色的淋巴结切片,可区分两个区域:外周的皮质区富含淋巴细胞,染色较深(嗜碱性);中央的髓质区染色较浅。 |
|
|
皮质区充满淋巴细胞,掩盖了网状组织构成的支架,仅在髓质区可观察到该支架:髓质区有形状不规则的透亮区(髓窦),分隔着染色深、细胞密集的髓索。髓索中主要包含浆细胞及其前体细胞,淋巴液在髓窦中循环。
起自被膜和门部的结缔组织小梁穿过髓质区,为淋巴结的血管提供支撑。 |
|
|
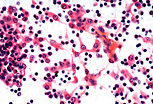
网状细胞的胞质呈嗜碱性,细胞核为卵圆形、染色浅,常可见核仁。网状细胞呈星状,其胞质突起与邻近细胞的突起相互连接,形成细胞网络。淋巴液在该网络的网眼间循环,其中可见淋巴细胞(核呈圆形、强嗜碱性,占据胞质大部分区域)。
在这张HES染色切片中,结缔组织小梁片段中的结缔组织纤维被藏红花染为黄色。 |
|
|
蓝色三色染色标本:呈网络状排列的网状细胞为星状,胞质嗜碱性,细胞核卵圆形、染色浅,常可见核仁。
结缔组织小梁中的结缔组织纤维被苯胺蓝染为蓝色。 |
|
| 经维尔德(Wilder)银染法染色后,网状纤维(III型胶原纤维)网络被染为黑色,清晰显示出与网状细胞网络相互重叠的结构。 | |
|
间充质组织
间充质组织为胚胎性组织, 其分化后可形成各类结缔组织及肌组织。 |
|
|
|
每个 间充质细胞 形态不规则,具有体积大的卵圆形细胞核,核染色浅,核仁清晰可见。这些细胞排列成疏松的细胞网络,合成的细胞外基质中纤维含量较少。 |
|
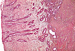
纯细胞性结缔组织
纯细胞性结缔组织是卵巢皮质和子宫内膜基质的特征性组织,由于结缔组织纤维含量少,该组织具有良好的延展性。 |
|
|
|
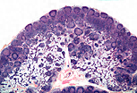
子宫内膜(子宫黏膜)覆盖于子宫肌层(子宫肌膜)表面,是子宫壁的表层结构。子宫内膜由单层纤毛柱状上皮构成,上皮向深部凹陷形成分泌黏液的子宫内膜腺。子宫内膜腺之间的区域为基质,属于纯细胞性结缔组织。 |
|
|
此标本显示包绕子宫内膜腺的基质。该结缔组织富含成纤维细胞,仅含少量结缔组织纤维。具有延展性的纯细胞性结缔组织可适应子宫壁的周期性变化。 |
|
|
卵巢皮质位于卵巢外周,由纯细胞性结缔组织构成,其中包含圆形的卵巢卵泡,这些卵泡的大小随其发育和退化过程发生变化。 |