疏松结缔组织
|
当狭义结缔组织的三大主要组成成分(细胞、结缔组织纤维和基质)占比均等时,该结缔组织被称为疏松结缔组织,与纤维占主导的致密结缔组织相对应。
疏松结缔组织常见于表皮下方或消化管上皮下方。 疏松结缔组织为血管和神经提供支撑,尤其可为其相邻的上皮组织输送营养物质;机体的防御反应也在此组织内发生。 |
|
|
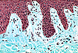
皮肤中,真皮乳头层的结缔组织是典型的疏松结缔组织。真皮乳头是结缔组织形成的锥状突起,嵌入表皮内,可增强表皮与真皮之间的连接稳定性。
该疏松结缔组织包含细胞( 成纤维细胞 等)、垂直于皮肤表面走向的结缔组织纤维,以及无法被染色的基质。 |
|
|
|
真皮乳头内可见衬有内皮的毛细血管,以及 环层小体(Wagner-Meissner小体) 。 |