神经末梢
| 神经末梢是神经元与其他组织建立的连接结构,本文以触觉感受器为例进行说明。这类感受器将来自内、外环境的刺激转化为传入神经冲动,冲动传至中枢神经系统后,会产生相应的自主或非自主性应答。 | |
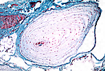
| 环层小体(帕奇尼小体) | |
| 环层小体(帕奇尼小体)是体积较大的被囊型感受器,可感受压力、振动和张力刺激,主要分布于皮肤深层(真皮与皮下组织之间)。每个环层小体由中央的无髓树突构成核心,外包厚层 板层状结缔组织 被囊,该被囊中胶原纤维与成纤维细胞交替排列。 | |
| 触觉小体(麦斯纳小体) | |
| 触觉小体(麦斯纳小体)是小型卵圆形被囊型感觉感受器,分布于真皮乳头层(表皮正下方),以指尖部位最为丰富。无髓树突穿行于特殊的施万细胞之间(此类施万细胞呈叠层状排列),薄层致密结缔组织构成被囊,界定小体的范围。 | |