平滑肌组织
|
平滑肌组织由梭形细胞构成,其收缩不受随意控制。
这些细胞的纵切面无横纹,因此被称为“平滑肌”:事实上,平滑肌细胞的收缩蛋白排列无规律,与横纹肌细胞不同。
平滑肌细胞主要构成消化系统、泌尿系统( 如膀胱 )和 血管 的肌层。 |
|
| 膀胱壁中的平滑肌组织 | |
| 从管腔向外侧,膀胱壁依次为尿路上皮、结缔组织层(固有层/chorion)、肌层(musculeuse), 最外层覆盖结缔组织层(外膜/adventice)。 | |
| 空虚的膀胱中,尿路上皮覆盖的固有层呈皱缩状。 肌层由平滑肌细胞构成,这些细胞聚集成束,呈纵行或横行排列。 | |
|
|
纵切面(CL)下,平滑肌细胞细长呈梭形,但通常比横纹肌细胞短。 嗜酸性的细胞质中含有一个长形细胞核,位于中央的肌浆区(fuseau sarcoplasmique)内。 这些细胞平行于肌束长轴排列,彼此间间隙极小: 细胞相互交错嵌合,一个细胞的膨大部与相邻细胞的尖端相邻。 每个细胞均被 网状纤维 网包裹,即透明鞘(manchon pellucide)。 |
|
|
此视野中,平滑肌细胞核的折叠形态尤为明显。 细胞核的这种变形是由于细胞收缩导致的:固定过程中细胞缩短,迫使细胞核自身折叠。 |
|
|
在横切的肌束中,平滑肌细胞的切面因相互挤压常呈多边形。 切面直径因经过细胞中央或尖端而不同:最宽的切面通常包含圆形的中央细胞核,该核几乎占据细胞质的全部宽度。 |
|
|
平滑肌细胞浸入固定液后会收缩、回缩,但细胞间仍通过细胞连接相连,因此可见穿过细胞间隙的“细线”。 |
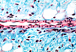
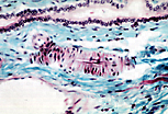
| 血管壁中的平滑肌组织 | |
|
|
该动脉壁的中膜由梭形平滑肌细胞构成的同心层组成。 如本视野所示,动脉横切时,平滑肌细胞呈纵切状态。 中膜内侧为内皮细胞(位于基膜上)和波形弹性膜; 外侧由致密结缔组织层与周围组织明确分界。 |
|
|
此小口径动脉纵切后,其肌层仅含单层平滑肌细胞; 内侧为内皮细胞,仅可见其沿血流方向排列的长形细胞核。 肌层厚度不均一,与平滑肌细胞横切面的随机位置有关。 |
| 此动脉肌层的切线切面清晰显示:平滑肌细胞的长轴与血管长轴垂直。 | |