眼睑
| 概述 | |
|
|
在此人眼睑的矢状切面上,可以识别衬覆外表面的表皮以及覆盖内表面的睑结膜。
睑板轴由眼轮匝肌和由致密纤维结缔组织构成的睑板软骨占据。 |
| 皮肤面 | |
|
|
眼睑前表面的皮肤被一层
非常薄的B型表皮
覆盖。真皮内含
毛发
,以及皮脂腺和汗腺。
眼轮匝肌属于骨骼肌(横纹肌)。 |
| 游离缘 | |
|
|
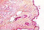
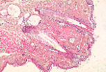
眼睑的游离缘在其前角处有
粗大的实心毛球毛发:睫毛
。与之相关的有小皮脂腺(蔡斯氏腺)。
睫毛之间有汗腺发育,即莫尔氏腺。 |
|
|
莫尔氏腺是 顶泌汗腺 ,常呈扩张状态。 |
|
|
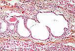
睑板软骨内含有复泡状皮脂腺:迈博姆氏腺。 |
|
|
迈博姆氏腺和莫尔氏腺的排泄管穿过眼轮匝肌的延伸部分——里奥朗氏肌——开口于眼睑的游离缘。 |
| 睑结膜 | |
|
|
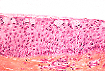
覆盖眼睑内侧面的睑结膜由复层柱状上皮构成,含有杯状细胞,其下为富含淋巴成分和毛细血管的固有层。 |
|
|
睑结膜在其与球结膜(结膜穹窿)的连接处,有称为亨利氏隐窝的内陷结构。 |