毛皮脂腺单位

  • 组成
    每个毛皮脂腺单位由毛发、毛鞘、皮脂腺和立毛肌组成。
  • 功能
    毛皮脂腺单位一方面生成毛发,另一方面参与皮脂的合成;皮脂可增强角质层的不透水性,同时起到杀菌和抑制真菌的作用。
  • 观察内容
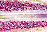
毛发与毛鞘
每根毛发都起源于表皮的管状凹陷结构,该结构斜向深入真皮层。
这一凹陷构成外上皮根鞘:它在皮肤表面通过一个小孔(毛孔)开放,毛干由此伸出;外上皮根鞘随着远离皮肤表面而逐渐变薄,在其深部末端膨大成毛球,毛球内包含真皮的特化区域——毛乳头。
外上皮根鞘的浅层为B型角化复层扁平上皮。
其深层由3至4层淡染细胞构成,这些细胞来源于位于皮脂腺附着点与立毛肌附着点之间的干细胞。随着外上皮根鞘深入真皮,这些细胞被激活;在毛球处,细胞增殖并不可逆地进入角质化分化过程。这些正在角化的细胞向毛球上方移动,形成内上皮根鞘和毛发。
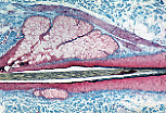
在毛皮脂腺单位的毛球处,外上皮根鞘变薄,透明细胞活跃增殖(大量核分裂象可证明这一点)。该区域常被称为毛基质区,因为其细胞分化后会形成内上皮根鞘和毛发;此处还存在大量负责毛发色素沉着的黑素细胞。
毛球内包含毛乳头,这是一个细胞丰富、有神经支配且血管丰富的结缔组织区域。该区域被认为可分泌诱导因子,促使毛球处的角质形成细胞分化。
内上皮根鞘由毛球来源的多层角质形成细胞构成,这些细胞处于角质化成熟过程中,其作用是将毛发固定于外上皮根鞘。毛发同样由毛球处生成的角质形成细胞构成,这些细胞随着远离毛球,与内上皮根鞘细胞同步发生角质化分化。
这一角质化分化区域被称为毛根。当毛发完全角化后,内上皮根鞘变薄并最终消失。毛颈是角化的毛发(毛干)与内上皮根鞘分离的区域。在毛颈上方,毛干与内陷的表皮之间形成间隙,皮脂腺分泌的皮脂排入此间隙。
高倍镜下可见:外上皮根鞘含透明细胞;内上皮根鞘由3层处于角质化成熟末期的强嗜酸性细胞构成;毛发细胞已完全角化且富含黑素。
斜行的嗜酸性细胞层是毛发与内上皮根鞘的锚定区,由毛发最外层的扁平细胞(毛小皮)与内上皮根鞘的扁平细胞(内根鞘小皮)相互嵌合而成。
整个毛皮脂腺单位外包绕结缔组织纤维鞘和增厚的基膜(玻璃膜)。
外上皮根鞘的角质形成细胞因富含糖原而呈淡染,PAS染色可证实这一特征。
冯塔纳染色显示了毛皮脂腺单位的色素沉着区域:
仅毛发含有黑素,毛鞘无黑素;毛乳头处也可见黑素分布。
从毛孔伸出的毛干是完全角化的结构。
扫描电镜(M.E.B.)下可观察到其外层细胞(毛小皮),这些角质形成细胞呈鳞片状相互嵌合,游离缘朝向毛发远端。
这是毛球处的组织切片(C.T.):
中央可见结缔组织性毛乳头,其周围为基质细胞(部分细胞处于核分裂期),大量黑素细胞嵌于基质细胞层中。
毛皮脂腺单位外包绕基膜和结缔组织纤维鞘。
在毛球上方的毛根处,外上皮根鞘、内上皮根鞘与毛发紧密结合。
相互嵌合的小皮细胞保证了三者的黏附性。
在毛颈上方,毛干在鞘内游离。
该角化的毛干部位常因标本制备过程而脱落,因此在切片上无法观察到(移位伪像)。

立毛肌

立毛肌由薄束平滑肌细胞构成,一端附着于毛皮脂腺单位的纤维鞘,另一端插入浅层真皮;其收缩可使毛发直立。
每个毛囊均附有皮脂腺,该腺体为单泡状外分泌腺,以全浆分泌方式将皮脂排入立毛肌附着点上方的毛囊内。

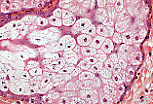
皮脂腺

高倍镜下可识别皮脂腺的全部结构:生发层及处于不同分泌合成阶段的衍生细胞。
基底层上方的细胞中,脂质凝聚成小滴(包埋过程中脂质丢失,使胞质呈海绵状);随细胞成熟,脂滴融合成单个胞质内空泡,细胞核固缩;最终整个细胞脱落(全浆分泌)。
单毛囊毛皮脂腺单位 其他图片