肛直肠段

  • 位置
    肛直肠段对应消化管的终末部分,范围为直肠末端至肛门表面的皮肤覆盖区之间的区域。
  • 分区
    肛直肠段可分为三个部分:移行区、肛管区和皮肤区。
  • 功能
    其功能为调控粪便的排出。
  • 观察内容
整体观
在这一猫的肛直肠段标本中,可识别出直肠后方的三个特征性区域,即移行区、肛管区和皮肤区。
可见黏膜肌层在此处中断,肌层的内环行肌层增厚并延续为内括约肌(平滑肌)。 该肌层的外纵行肌层则被横纹肌构成的外括约肌所取代。
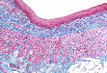
移行区
此视野展示了结肠型黏膜特征的直肠区与移行区之间的移行过程,移行区的表面上皮虽呈复层结构,但与典型的表皮样上皮不同。
黏膜肌层在该区域中断。
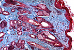
肛管区
肛管区的黏膜被覆真正的非角化复层扁平上皮(表皮样上皮)。
本标本中所见的平滑肌属于内括约肌,是肌层内环行肌增厚形成的结构。
皮肤区
在皮肤区,表皮样上皮发生角化,并逐渐转变为表皮,起初无皮肤附属器,后续则出现附属器。
临近肛缘的皮肤区具有典型的皮肤覆盖特征, 即B型角化上皮,伴有无 典型皮肤覆盖结构 ,也就是B型角化上皮,同时可见 单根毛囊 、皮脂腺以及 顶泌汗腺