汗腺

  • 分类
    基于形态学特征,汗腺可分为两类:
    • 外泌汗腺
    • 顶泌汗腺
  • 分布部位 - 功能
    • 外泌汗腺:
      • 几乎分布于全身皮肤表面,
      • 分泌汗液,参与体温调节。
    • 顶泌汗腺:
      • 分布范围较窄,仅见于特定部位,如腋窝、会阴部和肛周区域。
      • 分泌黏稠的分泌物,其具体功能尚存争议(可能与信息素相关?)。
  • 观察内容
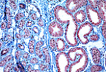
外泌汗腺
外泌汗腺位于真皮-皮下组织交界处,为单曲管状腺,由分泌部(汗腺部)和排泄部(汗管)组成。
分泌部由一层立方形透明细胞构成,周围包绕肌上皮细胞;这些细胞分泌水和离子的混合物(汗液)。
汗管由两层嗜酸性立方细胞衬里。
汗管穿过真皮时走行相对笔直;
到达表皮层后,仅由单层细胞衬里,在角质层内则呈螺旋状走行。外泌汗腺的汗管开口于表皮表面。
外泌汗腺 另一张图片 唇皮肤面的外泌汗腺
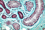
顶泌汗腺
顶泌汗腺与外泌汗腺的形态学差异在于其分泌部管腔更大,此外,二者的汗管开口位置也不同:顶泌汗腺的汗管开口于毛囊处,而非表皮表面。
顶泌汗腺分泌部仅见单层上皮细胞,但这些细胞大小不一,其顶端部分似乎与胞质其余部分局部分离。
与外泌汗腺相同,顶泌汗腺分泌部的腺细胞周围也包绕肌上皮细胞,这些细胞有助于分泌物的排出。
在猪体内,这些肌上皮细胞呈特征性的放射状排列。
顶泌汗腺 其他图片 肛直肠段的顶泌汗腺
眼睑的莫尔腺(睫腺)