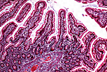
单层柱状被覆上皮(回肠)
|
单层柱状被覆上皮分布于回肠(小肠的一部分)。
小肠在食糜消化和消化产物营养吸收中发挥关键作用。为实现吸收功能,小肠与食糜接触的表面积通过多种结构被显著扩大:小肠的长度(肠袢)、黏膜皱襞、肠绒毛和微绒毛。 |
|
| 小肠表面积扩大的结构机制 | |
| 从肠腔视角观察,器官的内表面(黏膜)可见皱襞(环状襞)。 | |
| 肠皱襞上的指状突起构成了肠绒毛。 | |
|
扫描电镜下观察到的肠绒毛。
肠绒毛表面覆盖着肠上皮,包含两种细胞:吸收细胞(纹状缘细胞)和杯状细胞。 |
|
| 提高扫描电镜放大倍数,可见吸收细胞游离面密集排列的微绒毛末端形成的绒状表面。杯状细胞分泌出的黏液小滴清晰可见。 | |
|
|
进一步提高扫描电镜放大倍数,微绒毛形成的绒状表面可清晰辨认。
杯状细胞合成的黏液以小滴形式分泌。 |
|
|
继续提高扫描电镜放大倍数,可观察到覆盖吸收细胞表面的每个微绒毛末端。杯状细胞正在分泌黏液滴。 |
|
|
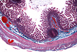
从图像中央的肠腔开始,回肠壁可识别出以下区域:黏膜皱襞区、结缔组织区(黏膜下层)、平滑肌组织区(肌层)。 |
|
|
该回肠壁切片中可见黏膜皱襞。
皱襞上突出的指状突起即为肠绒毛。 |
|
|
肠绒毛由中央结缔组织轴心和表面覆盖的肠上皮构成。绒毛之间可见 利贝昆氏腺(肠腺) 的开口。 |
|
|
衬贴利贝昆氏腺的上皮与覆盖肠绒毛的肠上皮结构相似。 |
|
|
肠上皮通过基膜与下方的结缔组织相连。细胞的基底面贴附于基膜,游离面朝向肠腔。细胞核呈单层排列于高柱状细胞的下1/3处。这一形态学特征表明肠上皮属于单层柱状被覆上皮。 |
| 吸收细胞 | |
|
|
肠上皮细胞的形态特征与其功能特化相适应。
吸收细胞为高柱状细胞,卵圆形细胞核位于基底部,游离面有一粉红色区域即纹状缘,其下方有一条嗜酸性红线。透射电镜显示,纹状缘由微绒毛构成,为吸收细胞提供了巨大的游离面以吸收营养物质;而嗜酸性红线对应终末网——这是一种细胞质区域,微绒毛内的肌动蛋白微丝在此锚定于中间丝。 |
|
|
扫描电镜下观察到从绒毛顶端脱落的吸收细胞。在此放大倍数下,可见覆盖吸收细胞游离面的密集微绒毛。 |
|
|
更高放大倍数下,大量微绒毛紧密排列且规则地分布于吸收细胞的游离面。 |
|
|
此放大倍数显示纹状缘内微绒毛呈规则的垂直排列。
微绒毛基部为终末网,该区域无细胞器,是细胞骨架成分(微丝和中间丝)交织的细胞质区域。 |
|
|
扫描电镜观察微绒毛的游离端。 |
|
|
透射电镜纵切面显示,微绒毛是吸收细胞游离面质膜的指状突起。
一束坚硬的肌动蛋白微丝贯穿微绒毛中轴,并与终末网内的中间丝相连。 |
|
|
更高放大倍数可观察到肌动蛋白微丝束。此外,微绒毛质膜表面的糖萼(细胞衣)特别发达:微绒毛的糖萼内含有多种消化酶。 |
|
|
横切面中,微绒毛呈质膜包绕的圆形断面。
质膜呈三层结构,表面覆盖糖萼。肌动蛋白微丝在微绒毛中央呈横断状态。 |
| 杯状细胞 | |
|
|
肠上皮中的 杯状细胞 具有三角形的深染基核,游离面细胞质因黏原颗粒堆积而透亮、膨大。黏原和黏液不被三色染色法着色。 |
|
|
PAS染色(苏木精-番红复染)。
PAS阳性结构包括黏原颗粒、纹状缘的细胞衣以及基膜。肠腔中可见杯状细胞分泌的黏液被染色。 |
| 连接复合体 | |
|
|
吸收细胞之间通过连接复合体相互连接。从游离端开始,紧密连接(闭锁小带)、黏着小带、桥粒,有时还有通讯连接(缝隙连接)共同构成连接复合体。 |
|
|
冷冻断裂技术观察吸收细胞游离端的连接结构。
P面可识别出吻合的嵴(蛋白质形成的凸起网络),E面则可见沟(形成嵴的蛋白质留下的凹陷网络)。 |
|
|
肠绒毛纵切面。 |
|
|
肠绒毛横切面呈圆形,包含中央结缔组织轴心,表面覆盖由吸收细胞和杯状细胞构成的单层柱状被覆上皮。基膜将上皮与下方的结缔组织分隔开。 |
|
|
肠绒毛斜切面。 |
|
|
吸收细胞游离端切线切面。 |