|
腺细胞会根据其分泌功能,特化发育参与分泌物合成与排泄的细胞器。
分泌物的性质以及相关细胞器的发育程度,决定了这些细胞在光镜(MO)或透射电镜(MET)下可观察到的形态特征。 以下展示各类细胞的形态: - 分泌酶原的浆液性腺细胞 , - 黏液性腺细胞 , - 合成脂质的细胞 , - 合成汗液的细胞 , - 合成信息素的细胞 , - 合成盐酸的细胞 , - 合成类固醇激素的细胞 , - 合成甲状腺激素的细胞 . |
|
|
分泌酶原的浆液性分泌
分泌蛋白质的细胞被称为浆液性腺细胞。 |
|
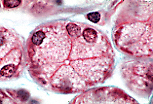
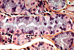
| 光镜下,构成该腺泡的浆液性腺细胞可通过以下特征识别:基底部嗜碱性、细胞核呈圆形且位于细胞基1/3处、顶端区域有嗜酸性的分泌颗粒(酶原颗粒)。 | |
|
酶原颗粒稳定性较差,在显微制片过程中常难以完整保存。在本图像中,仅能辨认出取样时这些颗粒所处的位置。
圆形的细胞核是区分浆液性腺细胞与黏液性腺细胞的特征。 |
|
| 在该浆液性腺泡中,细胞顶端可见细胞间小管。这些细胞间小管增大了发生胞吐作用的顶端表面积。 | |
| 浆液性腺细胞合成酶原,其特征为:基底部有高度发达的粗面内质网、圆形细胞核、核上区的高尔基体(该电镜照片中不可见),以及顶端的分泌小泡。粗面内质网的大量存在,是光镜下观察到细胞基底部嗜碱性的原因。 | |
|
黏液性分泌
- 顶端闭合型黏液性腺细胞 - 杯状细胞(顶端开放型黏液性腺细胞) - 胃黏膜的黏液细胞 |
|
| 顶端闭合型黏液性腺细胞 | |
|
|
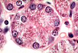
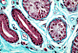
顶端闭合型黏液性腺细胞常见于下颌下腺或舌下腺的管泡状分泌单位中。
光镜下,黏液性腺细胞的特征为:细胞核被挤压至基底部、顶端区域充满着色浅的黏原颗粒。 |
|
|
PAS染色可将黏液性腺细胞的黏原颗粒着色。 |
|
|
透射电镜下,顶端闭合型黏液性腺细胞的特征是存在电子密度低的黏原颗粒。这些颗粒彼此分离、不融合,与杯状细胞的黏原颗粒不同。 |
| 杯状细胞(顶端开放型黏液性腺细胞) | |
|
|
杯状细胞(顶端开放型黏液性腺细胞)散在于部分被覆上皮中,尤以呼吸道上皮和肠上皮中最为常见。
光镜下,该细胞呈杯状:狭窄的基底部可见深染的三角形细胞核,而细胞顶端则充满黏原颗粒。 |
|
|
PAS染色可显示杯状细胞的黏原颗粒,同时也能显示糖萼(尤其在吸收细胞纹状缘处高度发达)以及基膜中的蛋白聚糖。 |
|
|
透射电镜下可观察到杯状细胞黏液的聚集与分泌过程。
黏原颗粒在粗面内质网合成、经高尔基体加工后,以高密度颗粒形式聚集在细胞顶端。 |
|
|
当黏原颗粒以局浆分泌方式释放时,水分使黏原转变为透明均质的黏液。 |
|
|
该切片显示已将全部黏原颗粒分泌完毕的杯状细胞顶端。 |
| 胃黏膜的黏液细胞 | |
|
|
构成胃黏膜表面的细胞为黏液细胞,形态与顶端闭合型黏液性腺细胞相似。
该图像显示食管的复层扁平上皮向胃的单层柱状上皮移行的区域,胃的单层柱状上皮由黏液性腺细胞构成。 |
| 脂质性分泌 | |
|
|
皮脂腺的腺细胞合成皮脂,胞质中会逐渐积累不融合的脂滴。
光镜下,这些细胞呈海绵状,因此被称为海绵细胞。细胞中央有细胞核,纤细的胞质网架勾勒出脂滴的位置(脂滴内容物在石蜡包埋过程中被提取)。 |
| 汗液分泌 | |
|
|
外泌汗腺分泌单位的细胞分泌汗液。光镜下,这些细胞为柱状,胞质浅染、略带嗜酸性。 |
| 信息素分泌(及汗液分泌) | |
|
|
假顶泌汗腺分泌单位的细胞分泌信息素。光镜下,这些细胞为高柱状(近柱状),顶端膨隆且有蒂,这也是其被称为"顶泌型"的原因;胞质内含有嗜酸性颗粒。 |
| 离子分泌:盐酸分泌 | |
|
|
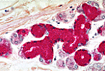
胃底腺的壁细胞(又称泌酸细胞/旁细胞)为锥体形,强嗜酸性,可分泌盐酸。胞质内大量线粒体与细胞膜内褶共同作用,是其呈现嗜酸性染色的原因。 |
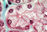
| 类固醇激素分泌 | |
|
|
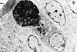
肾上腺皮质细胞分泌类固醇激素,光镜下呈海绵细胞样。这类激素以胆固醇为原料合成,本身为脂质性;脂滴在组织制片过程中被提取,使细胞呈现海绵状外观。肾上腺皮质细胞的嗜酸性源于胞质内大量线粒体。 |
|
|
透射电镜下,合成皮质类固醇的特征性细胞器为管泡状嵴线粒体和滑面内质网。(本电镜照片仅展示线粒体。) |
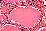
| 甲状腺激素分泌 | |
|
|
甲状腺由滤泡(囊泡)构成。合成甲状腺激素的腺细胞高度随细胞活性变化:细胞相对不活跃时呈扁平状;合成前激素并分泌至滤泡中央腔时变为立方形;最终呈柱状时,会重吸收前激素、将其转化为活性激素并分泌至血管中。 |