利贝昆氏腺(肠腺)
|
利贝昆氏腺(肠腺)的杯状细胞(或称顶端开放型黏液细胞)可分泌黏液等物质。黏液释放至肠腔后,可润滑肠壁。这种分泌活动在接近消化道末端时会增强:营养物质在小肠被吸收后,食糜中仍呈液态的残渣进入结肠,经脱水作用转化为粪便;随着粪便在结肠内推进且脱水程度不断加深,其质地逐渐变稠、变硬,利贝昆氏腺分泌的黏液可促进粪便推进,避免肠黏膜受损。
利贝昆氏腺是外分泌腺的典型代表——属于单管状、直管状腺,以局浆分泌的方式分泌黏液。 |
|
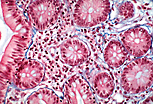
| 结肠利贝昆氏腺 | |
| 从图片上方的肠腔开始,结肠壁可分为四层结构:利贝昆氏腺所在的黏膜层、结缔组织构成的黏膜下层、平滑肌构成的肌层,以及再次出现的结缔组织层(浆膜层)。 | |
| 黏膜层的镜下观可见利贝昆氏腺数量极多且紧密排列,这些腺体是表面上皮向深部凹陷形成的管状结构,切片平面在不同高度对其进行了纵切或斜切。腺体之间可见少量结缔组织(固有层);黏膜层与下方黏膜下层的交界处,有一薄层平滑肌细胞(黏膜肌层)作为分界。 | |
| 此图显示多条利贝昆氏腺的纵切面:部分切面经过腺体中央腔,部分沿腺管壁切线方向。可见腺管的腔与肠腔直接相通。 | |
| 如图所示,利贝昆氏腺之间的结缔组织内含有大量细胞,其中可识别出浆细胞——这类细胞胞质嗜碱性,细胞核偏位且染色质呈棋盘格状分布。 | |
|
|
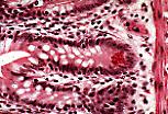
利贝昆氏腺的腺腔由单层柱状上皮细胞围成,这些细胞贴附于基膜上,顶端通过闭锁小带(紧密连接)相互连接。镜下可见:吸收细胞(肠上皮细胞)的细胞核呈卵圆形、位于基底部,顶端有纹状缘;杯状细胞的细胞核被挤压至基底部,顶端因聚集大量不易着色的黏原颗粒而膨大。 |
|
|
横切面上,利贝昆氏腺可见狭窄的中央腔,腔周为吸收细胞和杯状细胞;这些细胞均贴附于基膜,顶端通过闭锁小带连接。腺体之间排列紧密,仅以少量结缔组织(固有层)分隔。 |
|
|
黏液在常规染色中不易着色,但可通过PAS染色(过碘酸-希夫染色)显示——该染色可证实黏液的糖类属性。
本标本中,除杯状细胞的杯部外,其他PAS阳性(品红色)结构包括:基膜(因含蛋白聚糖)、吸收细胞纹状缘处密集微绒毛表面的丰富糖萼(因富含糖残基)。 |
|
|
阿尔辛蓝染色可特异性显示杯状细胞合成的黏液。 |
| 回肠利贝昆氏腺 | |
|
|
肠绒毛根部也可见较浅的利贝昆氏腺;肠绒毛和肠腺均被覆相同的上皮(吸收细胞+杯状细胞),这也体现了"被覆上皮"与"腺上皮"分类的人为性和相对性。
肠绒毛是回肠壁向外突出的结构,表面被覆被覆上皮,轴心为结缔组织(固有层结缔组织);而利贝昆氏腺是表面上皮向内凹陷形成的结构,被覆腺上皮,中央为腺腔。 |
|
|
此图显示构成利贝昆氏腺管壁的多种细胞:吸收细胞、杯状细胞和潘氏细胞。潘氏细胞位于肠腺底部,其特征是顶端有嗜酸性颗粒。 |
|
|
横切面上,利贝昆氏腺可见狭窄的中央腔,腔周为吸收细胞(顶端有纹状缘)、杯状细胞(顶端因聚集不易着色的黏原颗粒而膨大),此外还可见潘氏细胞(顶端有嗜酸性颗粒)和内分泌细胞(基底部有嗜酸性颗粒)。 |