肌上皮细胞
| 肌上皮细胞是一类非常特殊的平滑肌细胞,如其名称所示,它们起源于上皮组织, 包绕在外分泌腺的分泌单位周围,例如唾液腺、乳腺或汗腺。 在自主神经系统的调控下,这些细胞的收缩有助于将分泌物排出。 | |
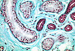
| 肌上皮细胞位于腺细胞基底部与基膜之间,形成一层梭形(长梭形)细胞。 其细胞质呈嗜酸性,细胞核致密。 在这张 外泌汗腺 分泌单位切片中(柱状透明腺细胞), 可观察到肌上皮细胞的横切面和纵切面。 沿腺细胞基底部的切线切面可呈现肌上皮细胞的“斜切面(cavalière)”视野。 | |
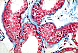
| 这是人体腋窝处 顶泌汗腺(假顶泌汗腺) 分泌单位周围的肌上皮细胞 (可通过宽大的管腔、高立方形细胞层识别,部分细胞顶端呈球状隆起), 其形态特征与外泌汗腺中的肌上皮细胞一致。 | |
| 这是母马指(趾)枕部位 顶泌汗腺(假顶泌汗腺) 分泌单位周围的肌上皮细胞。 | |