外泌汗腺

外泌汗腺是分布于人体几乎全身皮肤的皮肤腺,其汗液分泌受自主神经系统调控。汗液由血浆滤过形成,为低渗性水溶液,含多种离子(钠、钾、氯等)及少量代谢废物。汗液通过防止机体过度升温,维持体温恒定;同时也是机体排泄废物的次要途径。
外泌汗腺是外分泌腺的典型代表,为单管状盘曲腺,以局浆分泌(外泌)方式分泌汗液。

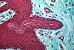
该手掌皮肤样本经三色染色、低倍镜观察,展示了皮肤的基本结构:表皮为A型厚角化复层扁平上皮,附着于真皮(结缔组织,纤维被苯胺蓝染成蓝色);真皮下方为皮下组织(主要由大而透亮的脂肪细胞构成)。外泌汗腺位于皮肤深层,即真皮与皮下组织的交界处。

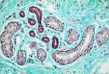
外泌汗腺呈盘曲状,因此在组织切片中会被多次切断,表现为多个不同切面的管状结构聚集。低倍镜下即可区分腺体的两部分:分泌单位(外泌汗腺管)染色较浅,排泄管(汗腺管)染色较深。

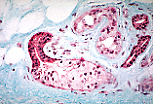
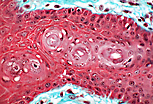
此视野展示了外泌汗腺管和汗腺管的管壁结构:外泌汗腺分泌单位的管壁由柱状上皮细胞层构成,外侧环绕嗜酸性的肌上皮细胞;汗腺管的管壁则由两层立方上皮细胞构成。

沿腺细胞基底部的切线切片可清晰显示肌上皮细胞(即“平铺”视野下的肌上皮细胞)。这类细胞含收缩蛋白,可通过收缩促进分泌物快速排出。

此图像清晰展示了外泌汗腺分泌单位(浅色的汗腺管)与排泄管(深色的汗腺管)之间的骤然过渡区。
CT 汗腺管
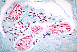
汗腺管起始段盘曲,随后以近乎直线的走行穿过真皮向表皮延伸;进入表皮后,汗腺管呈螺旋状走行。
汗腺管接近表皮时,其上皮细胞与表皮细胞融合;汗腺管腔周围的表皮角质形成细胞提前发生角化。
表皮内的汗腺管呈螺旋状走行,在表皮棘层内被多次切断;汗腺管周围的角质形成细胞中提前出现透明角质颗粒。
在表皮的角质层(以无核角质形成细胞为特征)内,可见汗腺管的横切面。