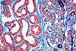
顶泌汗腺(假性顶泌汗腺)
(取材于
人体腋窝
或
母马乳腺区皮肤
)
|
在人类中,顶泌汗腺(假性顶泌汗腺)仅分布于腋窝和会阴部;而在某些动物物种中,这类腺体发育完善。
人类的顶泌汗腺仅在青春期后具备功能,女性的该腺体还会呈现周期性变化。其分泌黏稠、略带乳状的分泌物,经皮肤共生细菌作用后产生特殊气味。人类顶泌汗腺的具体功能尚未明确。 这类腺体在部分动物中占主导地位,可分泌汗液和/或信息素(外激素)。信息素是具有气味的物质,能帮助动物标记领地,或诱导同类产生特定行为(如性吸引)。 顶泌汗腺属于外分泌腺,为单管状盘曲腺;汗液以局浆分泌(外泌)方式排出,信息素则以假性顶泌分泌(实为局浆分泌)方式排出。 |
|
| 人体腋窝处的顶泌汗腺(假性顶泌汗腺) | |
| 取自人体腋窝的真皮结缔组织样本中,同时存在外泌汗腺和顶泌汗腺两种汗腺类型。与外泌汗腺类似,顶泌汗腺由分泌单位(顶泌汗腺管)和无分支的排泄管(汗腺管)构成,汗腺管开口于毛囊(未展示)。 | |
| 顶泌汗腺分泌单位的管腔比外泌汗腺更宽大。本图像中未显示其汗腺管,但该汗腺管的管壁结构与外泌汗腺的汗腺管一致;不同的是,顶泌汗腺的汗腺管不直接开口于皮肤表面,而是开口于毛囊。 | |
| 此顶泌汗腺分泌单位的视野可解释为何曾被认为是顶泌分泌:部分细胞顶端膨隆、部分细胞呈立方状,且某些切片可见孤立的顶端结构。但实际并非如此——该腺体的汗液以局浆分泌(外泌)方式排出,脂蛋白类的信息素则大概率以局浆分泌方式排出(假性顶泌分泌)。 | |
| 高倍放大下可见,腺细胞膨隆的顶端含有嗜酸性分泌颗粒。与外泌汗腺分泌单位相同,腺细胞外侧环绕着肌上皮细胞(此视野中尤为清晰);肌上皮细胞的收缩可促进分泌物快速排出。 | |
| 母马乳腺区皮肤中的顶泌汗腺(假性顶泌汗腺) | |
|
|
该母马乳腺区皮肤样本外周被覆B型角化复层扁平上皮,其中可见多种皮肤腺:皮脂腺和顶泌汗腺(假性顶泌汗腺),还可见乳腺管的切面。 |
|
|
这些顶泌汗腺管的腺细胞顶端略膨隆,细胞基底部可见嗜酸性的肌上皮细胞。 |