狭义结缔组织的外来细胞
|
组织细胞
组织细胞起源于血液单核细胞,参与机体的防御过程。这类细胞具有移动性和可动员性,相比其他细胞更能耐受不利环境。它们可特化为吞噬型、防御反应化学介质分泌型,或免疫监视与抗原呈递型(向淋巴细胞呈递抗原)。这种功能特化决定了细胞的不同形态特征,以下仅展示部分类型: - 组织细胞(未成熟型) - 巨噬细胞 - 巨细胞 |
|
|
组织细胞(未成熟型)
组织细胞是刚离开血液循环进入结缔组织的 血液单核细胞 ,尚未发生吞噬作用。 |
|
|
|
光镜(MO)下,组织细胞胞质淡染、轻度嗜酸性,细胞核染色质疏松,常可见单核细胞特有的核切迹。 |
|
巨噬细胞
|
|
|
|
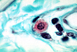
此为光镜下吞噬了淋巴细胞的巨噬细胞:核圆、居中、染色浅,胞质内可见被苏木精染成蓝黑色的包涵体,这些包涵体是含固缩淋巴细胞的溶酶体。 |
|
|
扫描电镜(MEB)下可见细胞膜形成的伪足状突起,是巨噬细胞完成吞噬的结构基础。 |
|
|
透射电镜(MET)下可见该巨噬细胞正通过两处细胞膜突起捕获 红细胞 。胞质内富含溶酶体(形态多样、有膜包绕、内容物致密的细胞器),表明该细胞参与细胞内消化过程。 |
|
|
此巨噬细胞的另一切面经过核区和细胞中央,证实其溶酶体丰富。内质网虽不明显,但参与溶酶体酶的合成,并通过组成型分泌途径完成细胞膜的更新。 |
|
巨细胞
巨细胞由多个上皮样细胞融合而成,胞质融合形成合胞体结构。 |
|
|
|
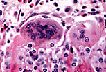
光镜下,巨细胞的识别依据是其体积巨大,且共同胞质内含有多个细胞核。 |
|
|
当细胞核在胞质内随机分布时,该巨细胞称为米勒细胞(Müller)。 |
|
|
当细胞核呈环形或马蹄形排列时,该巨细胞称为朗汉斯细胞(Langhans)。 |
|
浆细胞
浆细胞由受抗原刺激的 B淋巴细胞 分化而来,可产生针对诱导其分化的抗原的特异性抗体(免疫球蛋白)。抗体属于糖蛋白,按组成型分泌模式合成并分泌。 浆细胞可见于骨髓、淋巴器官(淋巴结等),也可见于 肠黏膜、呼吸道黏膜等上皮下的结缔组织 中。 |
|
|
|
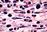
光镜下,浆细胞的特征为:形态多呈卵圆形,胞质嗜碱性(核旁淡染区除外,该区域为高尔基体和中心体所在部位),核偏位且染色质呈车轮状或棋盘状排列。 |
|
|
透射电镜下,浆细胞的典型特征为:粗面内质网丰富(几乎占据整个胞质),核染色质呈棋盘状。粗面内质网的丰富程度解释了光镜下浆细胞胞质特有的嗜碱性。 |
|
肥大细胞
肥大细胞常位于血管附近,胞质内含有颗粒,颗粒中包含肝素(抗凝剂)、组胺(小动脉血管扩张剂、支气管收缩剂)和类胰蛋白酶(可降解胶原)等物质。 肥大细胞释放组胺可引起局部血管扩张,减慢血流速度,促进白细胞游出,启动炎症反应;同时释放的肝素可防止血液凝固;类胰蛋白酶则有助于白细胞进入结缔组织。 此外,在过敏体质人群中,肥大细胞参与速发型超敏反应(荨麻疹、过敏性鼻炎、支气管哮喘)的发生,严重时可导致过敏性休克。 |
|
|
|
三色染色下,肥大细胞呈圆形或长椭圆形,核居中,胞质内充满嗜酸性颗粒。 |
|
|
苏木精-伊红-藏红花染色(HES)下的肥大细胞与蓝/绿色三色染色结果一致:圆形或长椭圆形,核居中,胞质含嗜酸性颗粒。 |
|
|
光镜下甲苯胺蓝染色时,肥大细胞颗粒呈现异染性——即能使甲苯胺蓝从蓝色变为紫色;细胞核无此特性,在细胞中央呈淡染状态。 |
|
|
透射电镜下,肥大细胞与血液嗜碱性粒细胞相似,均含大量大小、密度、纹理各异的颗粒;可通过结缔组织环境(纵横切面的胶原纤维、成纤维细胞的丝状胞质突起)区分二者。 |
|
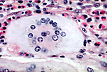
其他血源性细胞
炎症过程中,结缔组织内可见: 淋巴细胞 、 嗜酸性粒细胞 和 中性粒细胞 。 |
|
|
炎症反应中:淋巴细胞可通过圆形核识别;嗜酸性粒细胞通过双叶核和嗜酸性颗粒识别;中性粒细胞通过分叶核识别。
此图还可见成纤维细胞:核大、有核仁,胞质嗜碱性(富含粗面内质网)。 |
|
|
|
此图展示了白细胞离开血液循环的过程:炎症初期的血管扩张促进白细胞黏附于内皮细胞(白细胞边集),随后白细胞穿过血管壁(游出)并浸润结缔组织。 |
|
|
此图显示结缔组织内有大量中性粒细胞浸润,可通过其分叶核识别。 |