白细胞(白血球)

白细胞借助血液在其生成部位和功能活动部位之间循环。

多形核粒细胞
中性粒细胞 - 嗜酸性粒细胞 - 嗜碱性粒细胞

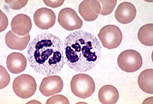
中性粒细胞
中性粒细胞具有移动和吞噬能力,通过破坏侵入组织的细菌,发挥即时且非特异性的抗感染作用。
它们在急性炎症反应的初始阶段发挥重要作用。
中性粒细胞是脓液的主要组成成分。

在光学显微镜(MO)下,细胞核根据成熟程度呈现3~5个由纤细核桥连接的分叶。 淡染的细胞质中含有少量嗜天青颗粒(对应溶酶体)和着色微弱的特异性颗粒。

在透射电镜(MET)下,切片观察可见细胞核的分叶结构(核桥并非总能观察到)。 细胞质中存在大量细小颗粒是其特征性表现。伪足的存在表明该细胞具有运动能力。

此处细胞核的切面显示出两个核叶之间的核桥。 细胞质中存在大量细小颗粒是中性粒细胞的特征性表现。

嗜酸性粒细胞
在多种寄生虫病中,循环嗜酸性粒细胞数量会增加:抗寄生虫防御似乎是其主要功能之一。 其数量在花粉症、哮喘等过敏性疾病中也会升高,此时可在鼻黏膜和支气管黏膜中发现它们。
作为吞噬细胞,尽管嗜酸性粒细胞对抗原-抗体复合物具有亲和力,但其杀菌活性低于中性粒细胞。 若待吞噬颗粒体积过大(如寄生虫),它们会将颗粒内容物释放到细胞外环境中。
嗜酸性粒细胞通过中和组胺、抑制肥大细胞脱颗粒,可限制由肥大细胞颗粒释放引发的不良反应。

在光学显微镜(MO)下,细胞核通常为双叶状,细胞质中含有大量嗜酸性颗粒, 这些颗粒富含碱性蛋白质。
在透射电镜(MET)下,卵圆形颗粒具有电子密度高的中央矩形结晶体, 这是该类细胞的特征性表现。
嗜酸性粒细胞的颗粒中含有组胺酶等物质。
结晶体中含有主要碱性蛋白(一种强碱性蛋白质),这也是该多形核粒细胞命名的依据。
嗜碱性粒细胞
嗜碱性粒细胞在速发型超敏反应(过敏反应)中发挥作用。
在光学显微镜(MO)下,其主要特征是存在大量强嗜碱性颗粒,这些颗粒会掩盖细胞核。
细胞核体积较大,形态类似三叶草。
在透射电镜(MET)下,细胞质中大量颗粒的形态学多样性是识别嗜碱性粒细胞的依据。 这些颗粒的电子密度不同,内容物形态也存在差异。
该图像显示了嗜碱性粒细胞颗粒的多样性。这些颗粒中含有肝素和组胺等物质。

单核无颗粒白细胞
淋巴细胞 - 单核细胞

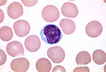
淋巴细胞
淋巴细胞是免疫应答的核心效应细胞。免疫应答针对抗原(进入机体的外来结构表面分子),具有特异性。
外源性物质被巨噬细胞样细胞吞噬。这些细胞将其降解,并在细胞表面重新呈递这些物质的片段(抗原),供淋巴细胞识别。
随后淋巴细胞增殖,并介导特异性免疫应答(分为两种类型):细胞免疫由T淋巴细胞介导; 体液免疫由B淋巴细胞介导,B淋巴细胞分化为 浆细胞 后会分泌抗体。 抗体通过与抗原特异性结合,中和外来物质并增强吞噬细胞对其的识别能力。

在光学显微镜(MO)下,圆形细胞核几乎占据淋巴细胞的全部细胞质, 核周仅有一薄层嗜碱性细胞质。
常规光学显微镜无法区分不同类型的淋巴细胞,只有通过细胞膜受体的免疫细胞化学标记才能鉴别。
在透射电镜(MET)下,细胞质中存在大量游离核糖体是淋巴细胞的典型特征, 这也解释了光学显微镜下观察到的细胞质嗜碱性。

在透射电镜(MET)下,识别淋巴细胞的特征包括:细胞核占据细胞质的大部分区域, 细胞质中存在游离核糖体。

在扫描电镜(MEB)下,可见淋巴细胞表面存在短小的伪足。
单核细胞(直径15~25微米)
单核细胞是组织细胞的前体细胞。
离开血液循环后,它们分化为 组织细胞 。组织细胞通过吞噬作用转变为 巨噬细胞
上皮样细胞是在难溶性外来物周围失去运动能力的组织细胞,而 多核巨细胞 则由多个上皮样细胞融合形成。

在光学显微镜(MO)下,单核细胞的直径约为红细胞的2~3倍。
其体积较大的细胞核常呈马蹄形,染色较浅,染色质呈海绵状外观。
丰富的细胞质被染成灰蓝色。

在透射电镜(MET)下,高尔基体发育良好,位于细胞核的凹陷处。 细胞质中可见少量颗粒(溶酶体),但数量少于中性粒细胞的细胞质颗粒。