软骨组织的组成成分
| 与所有结缔组织一样,软骨组织由 固有细胞 ( 成软骨细胞 - 软骨细胞 )或 外来细胞(破软骨细胞) 构成,这些细胞分散在丰富的 细胞外基质(软骨基质) 中。 | |
| 固有细胞 | |
| 成软骨细胞来源于 软骨膜内层成纤维细胞的化生 ,是合成软骨基质的幼稚软骨细胞。其卵圆形、染色浅的细胞核位于更丰富的细胞质中,这一特征可将其与成纤维细胞区分——成纤维细胞仅能看到固缩、细长的细胞核。 | |
| 软骨细胞位于细胞外基质的腔隙(软骨陷窝)内。软骨陷窝周围密度更高的细胞周区被称为囊壁。因此,软骨细胞完全被细胞外基质包围,并通过自身分泌维持基质的稳定。这些细胞在组织固定时常常发生收缩(这一人为假象可帮助观察软骨陷窝)。软骨细胞内可积累脂滴,这些脂滴在常规石蜡包埋技术中会被溶解。 | |
| 外来细胞 | |
| 破软骨细胞来源于单核细胞,可吸收软骨组织。它是一种巨细胞(多核),细胞质呈弱嗜碱性。破软骨细胞总是位于肥大、退化的软骨细胞附近(本图中位于长骨生长板的骨干侧)。 | |
| 细胞外基质(软骨基质) | |
| 在明视野显微镜(MO)下, 透明软骨组织 的基质呈现无定形状态,这是因为构成基质的II型胶原纤维与基质具有相同的折射率。II型胶原纤维在常规局部染色中,仅被第三种染色剂轻微着色。 | |
|
|
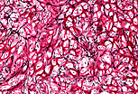
弹性软骨组织 的细胞外基质中,除II型胶原纤维外,还含有大量弹性纤维(本图中经品红-多聚甲醛染色呈红紫色)。这些交织成网的弹性纤维在每个软骨细胞周围形成致密网络,赋予该软骨组织极强的变形能力。 |