软骨组织的分类
|
细胞外基质中的纤维成分可区分出三种软骨组织:透明软骨、弹性软骨和纤维软骨。
本文仅展示: - 透明软骨组织 , - 弹性软骨组织 。 |
|
|
透明软骨组织
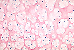
透明软骨是最常见的软骨类型,它构成了胚胎骨骼、大部分关节面以及呼吸道的支架。其 细胞外基质 含有II型胶原蛋白纤维。 |
|
|
|
小群的软骨细胞(即同源细胞群)被丰富的无定形细胞外基质分隔开。软骨细胞位于细胞外基质中的腔隙(软骨陷窝)内。细胞外基质呈现无定形状态,因为II型胶原蛋白纤维与基质的折射率相同,因此得名"透明"(如玻璃般透明)。在苏木精-伊红-固绿(HES)染色中,细胞外基质被番红染成黄橙色。 |
| 在经蓝色三色法染色的透明软骨组织中,可观察到相同特征:软骨细胞位于软骨细胞外基质的软骨陷窝内。唯一的区别在于,这种情况下细胞外基质被苯胺蓝染成蓝色。 | |
| 总之,无论采用何种染色方法:透明软骨组织的识别依据是,在弱染色的无定形(透明)细胞外基质中存在软骨细胞的同源细胞群(软骨组织特征)。 | |
|
弹性软骨组织
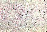
除II型胶原蛋白纤维外, 弹性软骨组织的细胞外基质 还含有大量弹性纤维,使其具有变形能力。这种弹性软骨组织主要构成耳廓、会厌软骨(吞咽时关闭呼吸道开口的结构,可防止食物和液体进入呼吸系统)等。 |
|
| 围绕软骨细胞的细胞外基质中含有大量弹性纤维,在常规局部染色中,这些弹性纤维被伊红染成粉红色。 | |
| 经地衣红染色可证实细胞外基质中观察到的纤维具有弹性特征——地衣红将这些纤维染成棕色。 | |