| 外加性生长 | |
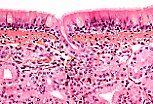
| 气管腔由透明软骨组织构成的软骨环支撑,保持开放状态。在这一纵向切开的气管壁切片上,软骨环的切面呈椭圆形。软骨作为结缔组织,其胶原纤维(即细胞外基质)被苏木精-伊红-固绿(HES)染色法中的番红染成黄色。 | |
|
|
这一放大视图显示,气管内壁的上皮为假复层纤毛上皮,其中含有大量杯状细胞。结缔组织中可见气管的管泡状浆液粘液性腺。 |
| 每一块软骨组织都被真正的结缔组织(软骨膜)所包围。 | |
| 软骨组织由软骨细胞、结缔组织纤维和基质组成。每个软骨细胞位于软骨陷窝内,该结构因细胞的人为收缩而清晰可见。结缔组织纤维(II型胶原)与基质具有相同的折射率,难以区分:因此细胞外基质呈现无定形状态,这类软骨被称为透明软骨。 | |
| 软骨膜是包围每块软骨组织的真正结缔组织,它通过添加合成软骨基质的新细胞(成软骨细胞),参与软骨的营养供应和外加性生长。软骨膜包含两个区域:外部血供丰富,是规则致密结缔组织层,成纤维细胞核深染且扁平,分布在I型胶原纤维之间。该层被称为静止层,因其不参与软骨组织的生长。 | |
|
|
软骨膜的内层(生发层)细胞更丰富。在此区域,合成以I型胶原为基础的细胞外基质的成纤维细胞发生化生,转变为 成软骨细胞 ——这是一种卵圆形细胞,细胞核更大、染色更浅,可合成以II型胶原为基础的细胞外基质。当成软骨细胞被包埋入细胞外基质(其中胶原纤维逐渐融入基质)后,便成为软骨细胞。因此,外加性生长依赖化生过程——即一种组织(结缔组织)转化为形态和功能不同的另一种组织(此处为软骨组织)。 |
| 内积性生长 | |
|
|
软骨细胞保留有丝分裂能力,这便是内积性生长。胞质分裂后,每个子细胞会分泌细胞外基质, 这些基质逐渐将子细胞彼此分隔,最终每个细胞占据各自的软骨陷窝。来源于同一母细胞的软骨细胞形成同源细胞群:若细胞呈冠状排列,该同源细胞群称为冠状同源细胞群(使软骨块体积增大);若细胞呈线状排列,则称为轴向同源细胞群(使软骨块长度增加)。 |
|
|
在个体生长过程中,长骨内始终存在大型轴向同源细胞群。
这一生长中长骨末端切片显示,在骨骺与骨干的连接处,有一层颜色更浅的软骨组织,即生长板(骺软骨)。 |
|
|
生长板是软骨细胞通过有丝分裂增殖的区域,这些细胞形成与骨长轴平行的轴向同源细胞群。 |
|
|
远离有丝分裂增殖区的软骨细胞会发生肥大并退化,其软骨陷窝扩张。生长板的骨干侧(本图右侧)被破软骨细胞吸收,这一破坏过程发生在名为侵蚀线的区域。 |
|
|
生长板骨骺侧(本图左侧)软骨细胞的增殖,结合骨干侧(本图右侧)软骨的同步破坏与骨组织替代,使骨骺"后退"——最终实现长骨的延长! |