| 小梁动脉 | |
|
|
脾动脉的分支穿过结缔组织小梁进入脾脏,这些分支被称为小梁动脉。 |
| 中央动脉 | |
|
|
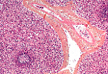
动脉离开结缔组织小梁后成为髓质动脉,随后被动脉周围T淋巴细胞鞘包绕,这就是中央动脉。
该T淋巴细胞鞘局部扩张,容纳带有生发中心的B淋巴样滤泡(生发中心分为暗区和明区两个半球,上方覆盖着嗜碱性更强的套区,套区外又有一层染色更浅的淋巴样冠区即边缘区)。脾脏的这些滤泡被称为马尔皮基小体(Malpighi小体)。(详见 淋巴样滤泡的细胞群 )。 动脉周围鞘和马尔皮基小体共同构成了白髓。 |
| 笔毛动脉 | |
|
|
中央动脉穿过淋巴样滤泡且周围存在边缘区,这是区分脾滤泡和淋巴结滤泡的关键特征。
中央动脉直接开口于边缘区网状结构(免疫反应发生的区域,此处不易识别),或在马尔皮基小体周边分支形成笔毛动脉。 笔毛动脉后续延续为鞘段。 |
| 鞘段 | |
|
|
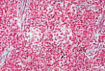
鞘段的特征是管腔狭窄,内衬1-2个内皮细胞核,周围环绕着一团由组织细胞来源的淡染细胞。 |
|
|
某些动物的脾脏可能具有与人类脾脏不同的特征。
例如犬脾的鞘段高度发达,结缔组织小梁中可见平滑肌细胞(有助于血液的排出,体现了脾脏的储血功能);同时可见的巨核细胞则印证了该器官的 造血功能 。 |
| 血窦微静脉 | |
|
|
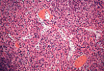
鞘段直接开放于脾实质的网状网眼(即比尔罗特索/Cordons de Bilroth区域)中。血液在此处滤过,随后被血窦微静脉收集。 |
|
|
血窦微静脉的特征是具有不连续的立方内皮细胞,这些内皮细胞由网状纤维网架支撑(此处经Wilder染色清晰显示),所有脾血均由血窦微静脉引流。 |
|
|
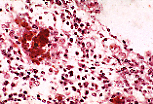
在这份兔脾标本中,血窦静脉内皮的不连续性表现得尤为明显。
正在被破坏的红细胞(含铁血黄素的赭色色素)印证了脾脏的红细胞破坏(溶血性)功能。 |
|
|
Perls染色(普鲁士蓝染色)可将含铁血黄素色素清晰显示出来。 |
| 小梁静脉 | |
|
|
血窦微静脉汇入小梁静脉,后者与小梁动脉伴行,穿过结缔组织小梁离开脾脏。 |