|
|
|
|
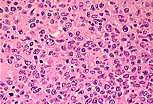
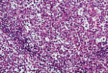
皮质区的淋巴样滤泡
是B细胞免疫应答的发生部位。
在常规形态学观察中可识别出: 中心母细胞 、 中心细胞 、 滤泡树突状细胞 、 巨噬细胞 、 小淋巴细胞 。 |
|
|
滤泡树突状细胞可通过其大而淡染的卵圆形细胞核识别,核内可见一个小核仁,这类细胞常两两聚集分布。 |
|
|
中心母细胞可通过其大而圆形的淡染细胞核识别,核染色质稀疏,可见数个偏位的核仁(常靠近核膜)。
中心细胞的细胞核更小,呈有裂沟状,染色质更致密。 |
|
|
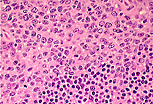
套区含有小淋巴细胞,其形态与血液中所见的淋巴细胞几乎一致。 |
|
|
巨噬细胞可通过其体积大、淡染且边界不清的细胞质识别,胞质内含有大量吞噬的细胞碎片(可染小体/富勒铭小体)。 |
|
|
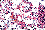
采用过氧化物酶偶联的抗CD68抗体可显示出巨噬细胞。 |
| 副皮质区的细胞群 | |
|
|
副皮质区
是主要包含T型淋巴样细胞的区域。
抗原呈递细胞(称为交错突网状细胞)可通过其大而淡染、形态不规则的细胞核识别。 此外,副皮质区富含 高内皮微静脉 。 |
| 与淋巴结支架相关的细胞群 | |
|
|
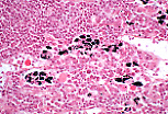
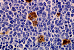
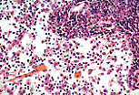
网状支架中可见大量巨噬细胞,它们在此行使吞噬功能(非特异性免疫)。
在这名矿工的炭末性淋巴结中,巨噬细胞内充满了炭尘颗粒。 |
|
|
淋巴结支架的网状纤维
由星芒状结缔组织细胞(称为成纤维细胞样网状细胞)产生。
这类细胞在髓质区(淋巴样成分较少的区域)尤为明显。 |
| 髓索的细胞群 | |
|
|
髓索
聚集了浆细胞及其前体细胞、T淋巴细胞和巨噬细胞。
髓索周围衬有内皮样细胞(常称为 衬细胞 ),这些细胞界定出淋巴窦,淋巴液在窦内循环。 |