|
|
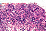
在这份通过门部的淋巴结切片上,可依次分辨出:
- 结缔组织被膜; - 包含淋巴样滤泡的皮质区; - 副皮质区(无结构的淋巴样片状区域); - 髓质区(淡染的区域,内有髓索穿行)。 |
| 支架结构 | |
|
|
包绕淋巴结的结缔组织被膜富含胶原纤维,可含脂肪细胞。从被膜发出纤细的小梁,垂直伸入淋巴结内,对皮质区形成不完全分隔。 |
|
|
淋巴结的支架由
成纤维细胞样网状细胞
产生的网状纤维构成。
经Wilder染色(银染法)显示的这些纤维,在淋巴样成分较少的髓质区尤为清晰可见。 |
| 淋巴样结构 | |
|
|
淋巴结的组织结构可区分出:主要位于皮质区的淋巴样滤泡(B细胞依赖区)、副皮质区(T细胞依赖区)以及髓索(B细胞依赖区)。 |
|
|
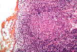
淋巴样滤泡是有结构的卵圆形淋巴细胞聚集灶,可分辨出多个区域:生发中心(自身又分为暗区和明区两个密度不同的半球);包绕生发中心的套区(通常朝向结缔组织被膜)。 |
|
|
副皮质区是弥漫的淋巴细胞片状区域,位于皮质区下方,但因穿行于皮质淋巴样滤泡之间而与皮质区紧密交织。
副皮质区的细胞群 。 |
|
|
髓质区的髓索呈分支状并相互吻合。
髓索的细胞群 。 |