神经支配

  • 皮肤的神经支配丰富,包括:
    • 支配血管舒缩、汗腺分泌和立毛的神经,
    • 负责触觉、温度觉和痛觉的神经。
真皮内 可见大量神经 (位于真皮层)
这些神经通常由单一神经纤维束构成,外被神经束膜。
麦斯纳小体(Wagner-Meissner小体) 是感受触觉的被囊神经末梢,分布于 真皮乳头内 。 其结构为呈手风琴样折叠的无髓神经纤维,外绕施万细胞和成纤维细胞。
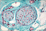
环层小体(Vater-Pacini小体) 是另一种被囊神经末梢,位于 真皮与皮下组织交界处 。 由无髓神经纤维和多层板层状结缔组织被囊构成,感受压力刺激。
神经末梢与表皮基底层的 梅克尔细胞 形成突触连接, 梅克尔细胞被认为是重要的触觉感受器之一。