特殊微静脉
|
|
脾脏
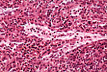
的血窦型微静脉由无连接的立方形内皮细胞围成,细胞核突出,细胞由不连续的基底膜支撑,无中膜和外膜结构。
内皮细胞间的间隙使血液有形成分能从比尔罗特索(脾索)快速进入微静脉管腔。 |
|
|
包绕脾脏血窦型微静脉内皮的基底膜由同心环状的网状纤维构成,此图通过Wilder染色(网状纤维染色)清晰显示该结构。
这些网状纤维交织成网,形成内皮周围真正的粗网眼筛状结构,与血管长轴垂直,且与构成比尔罗特索(脾索)支架的网状纤维相延续。 |
| 淋巴器官的上皮样毛细血管后微静脉 | |
|
|
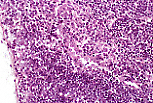
上皮样毛细血管后微静脉分布于淋巴器官,是淋巴细胞迁移的主要通道:从
胸腺
迁移至血液循环,或从血液循环迁移至次级淋巴器官(
淋巴结
、
扁桃体
等)。
其管壁仅由立方形内皮细胞构成,细胞由基底膜支撑。 |