消化管的弥散内分泌系统
|
|
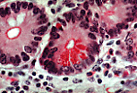
消化管弥散内分泌系统的神经内分泌细胞具有与黏膜上皮细胞相反的极性特征:其分泌颗粒位于细胞的基底部,靠近固有层毛细血管。这类细胞可通过银染法(如丰塔纳染色法,Fontana)等亲银染色技术被标记出来。 |
|
|
这些内分泌细胞散分布于消化管黏膜的上皮细胞之间。 |
|
|
在李氏隐窝(Lieberkühn隐窝) 内,常规染色有时可识别出部分内分泌细胞的分泌颗粒。这些颗粒不会与 潘氏细胞(Paneth细胞) 的颗粒混淆,因为它们位于细胞核下方、细胞的基底部。 |