A类(厚型)角化复层扁平被覆上皮
|
角化复层扁平被覆上皮(表皮)由四种细胞构成:角质形成细胞、黑素细胞、梅克尔细胞和朗格汉斯细胞。后两种细胞将在组织学专业课程中介绍。
角质形成细胞是表皮的主要细胞类型,其从表皮基底层向表层经历一系列分化过程。这一分化过程改变了角质形成细胞的形态,并形成四层结构:基底层、棘层、颗粒层和角质层。 当角质层较厚时,该角化复层扁平被覆上皮被称为A类(厚型):主要分布于手掌和足底部位。 |
|
|
手掌皮肤的基本结构 |
|
| 手掌皮肤切片可见三层叠加的皮肤组织。表层为A类角化复层扁平被覆上皮(表皮);其下为结缔组织构成的真皮,真皮下方是脂肪组织构成的皮下组织(浅筋膜)。 | |
|
A类角化复层扁平被覆上皮
- 概述 - 基底层 - 棘层 - 颗粒层 - 角质层 |
|
| 概述 | |
| A类角化复层扁平被覆上皮具有较厚的表层(角质层),该层由角化的死亡细胞构成。 | |
|
皮纹是角质形成细胞垂直排列形成的隆起和凹陷,构成表皮表面的嵴和沟,是指纹形成的结构基础。
此外,可见汗腺管(汗腺排泄管)在表皮内呈螺旋状走行。 |
|
| 表皮与真皮的连接面并非直线:表皮如同一个平板,其深面因结缔组织的突起(真皮乳头)而形成凹陷。真皮乳头增强了表皮与真皮的连接,并有利于上皮的营养供应。 | |
|
基底层
角质形成细胞与表皮-真皮连接 透明细胞 |
|
| 角质形成细胞与表皮-真皮连接 | |
|
|
基底层由一层立方形或柱状的角质形成细胞构成,紧贴其下方的结缔组织轮廓分布,并通过基膜锚定于结缔组织。这些角质形成细胞的基底面凹凸不平:通过"根突"或"足突"锚定于基膜。基底层中的干细胞不断有丝分裂,维持表皮的更新与修复。 |
|
|
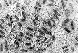
透射电镜显示,根突通过大量半桥粒附着于基膜。
这些基底角质形成细胞伸出胞质突起,穿过细胞间隙,通过桥粒与相邻细胞的突起相连。 |
|
|
该高倍镜图像显示分隔表皮与真皮的基膜(表皮-真皮连接):紧邻角质形成细胞的是电子透明带(透明板),其下为电子致密带(致密板),致密板外侧为纤维网(网板)。该基膜的特征是存在特化的锚定连接——半桥粒。 半桥粒通过胞质内的附着蛋白(形成可见的致密胞质附着板)和跨膜蛋白,将角蛋白中间丝锚定于细胞外基质。 附着板对应的透明板区域有锚丝穿过,锚丝止于基板下的致密板;锚原纤维扎根于致密板,延伸至真皮内。 |
| 透明细胞 | |
|
|
光镜下,基底角质形成细胞的栅栏状排列中散在分布着透明细胞。这些细胞包括参与触觉感知的梅克尔细胞,以及合成黑色素并通过胞吐作用将黑色素转移给角质形成细胞的黑素细胞(保护细胞免受紫外线的致突变作用)。 |
|
|
丰塔纳染色(银染法,利用黑色素的银还原特性显示黑色素)可显示黑素细胞的树状突起,这些突起伸入基底层和棘层的角质形成细胞之间。 |
| 棘层 | |
|
|
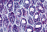
基底层上方的棘层中,角质形成细胞为大的多角形细胞。其细胞核圆、染色浅、核仁清晰,表明细胞活跃合成蛋白质。光镜下这些细胞通过称为细胞间桥的线状结构相连,细胞间桥中央的膨大称为比佐泽罗小结。 |
|
|
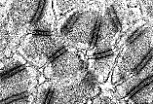
乌纳染色法可更清晰地显示连接细胞的细胞间桥。透射电镜揭示了这些结构的本质:棘层细胞表面布满胞质突起(棘突),棘突相互嵌合,并通过桥粒连接。 |
|
|
透射电镜下,棘层细胞的胞质因富含角蛋白中间丝而电子密度极高。这些中间丝锚定于桥粒,桥粒将相邻角质形成细胞的胞质突起(棘突)连接在一起。相比之下,细胞核则显得透亮。 |
|
|
该细胞间隙区域的高倍镜图像(冷冻蚀刻技术)显示相邻角质形成细胞的棘突如何相互嵌合。这些棘突通过桥粒连接,桥粒对应光镜下的比佐泽罗小结。 |
|
|
更高倍镜下可清晰观察到角蛋白中间丝锚定于桥粒的胞质板。 |
|
|
该图像中至少两个相邻角质形成细胞的多个棘突被横切,呈多角形切面,彼此通过桥粒连接。 |
|
|
该高倍镜图像显示桥粒部位的细胞间隙增宽。棘突内的角蛋白中间丝呈横切状态。 |
|
|
桥粒的五层结构:两层厚的胞质致密板、两层外侧的细胞膜片层和一层中央致密线。 |
|
|
相邻角质形成细胞的棘突之间存在缝隙连接(通讯连接)。通讯连接部位的细胞间隙狭窄,可据此识别。 |
|
缝隙连接的冷冻蚀刻观察:缝隙连接表现为质膜胞质面(P面)的均匀膜内颗粒聚集区。每个膜内颗粒对应一个连接子。 |
| 颗粒层 | |
|
|
光镜下,颗粒层角质形成细胞的特征是胞质内出现大量强嗜碱性颗粒(透明角质颗粒)。这些颗粒主要包含丝聚合蛋白原(一种参与表皮角化过程的蛋白质前体)。
颗粒层细胞逐渐扁平,细胞核染色质浓缩:细胞核固缩,当角质形成细胞进入角质层后细胞核完全消失。 |
| 角质层 | |
| 角质层的角质形成细胞完全角化、死亡、无核,但通过在表皮表面形成有效的屏障,对下方细胞起到不可或缺的保护作用。 | |