呼吸道假复层上皮
| 呼吸系统管道表面衬贴有特征性的假复层上皮。 | |
|
|
在兔颈部横切面上,气管位于弹性动脉与食管之间。 气管壁由软骨组织构成的软骨弓(不完整环)支撑。 |
| 呼吸道假复层上皮衬贴于气管管腔表面。 | |
| 呼吸道假复层上皮包含基底细胞(生发细胞)——负责补充其他类型细胞、 表面带有纤毛(摆动纤毛)的纤毛细胞,以及 杯状细胞 (粘液腺细胞)。 | |
| PAS染色可显示杯状细胞内的粘液。 | |
| 扫描电镜下可见,假复层上皮的纤毛细胞表面有纤毛(摆动纤毛), 其摆动可推动覆盖在组织表面的粘液移动;杯状细胞表面仅有少量微绒毛。 | |
|
|
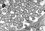
基体(毛基体)(纵切面观察)位于纤毛细胞的游离面(顶端), 并延伸为纤毛(摆动纤毛)的轴丝。 |
|
|
基体(毛基体)(横切面观察)由9组外周微管三联体构成, 位于纤毛细胞游离面(顶端)的基体板上。 轴丝位于纤毛(摆动纤毛)的中轴,包含9组外周微管二联体和1对中央微管。 |
|
|
轴丝位于纤毛(摆动纤毛)的中轴,包含9组外周微管二联体和1对中央微管。 |
|
|
轴丝位于纤毛(摆动纤毛)的中轴,包含9组外周微管二联体和1对中央微管。 |
|
|
轴丝位于纤毛(摆动纤毛)的中轴,包含9组外周微管二联体和1对中央微管。 这对中央微管被中央鞘包裹,放射辐条朝向该中央鞘排列。 |
|
|
微管二联体由完整的A微管(13根原丝构成)和不完整的B微管(10根原丝构成)组成。 A微管上附有纤毛动力蛋白臂。 |