分泌部位
|
外分泌
当腺细胞将分泌物释放到机体外,或释放到与外界相通的体腔中时,该分泌方式称为外分泌。 |
|
|
外分泌腺的腺细胞排列形成分泌单位,该分泌单位一端闭合,另一端开口于被覆上皮表面。分泌物通过开口端释放到机体外:可直接释放(单外分泌腺)、通过无分支的排泄管释放(单外分泌腺),或通过分支的排泄管系统释放(复外分泌腺)。
(食管腺通过排泄管开口于食管腔) |
|
|
内分泌
当腺细胞将分泌物释放到机体内(更具体地说,释放到血液循环中)时,该分泌方式称为内分泌。 |
|
|
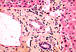
除甲状腺外,内分泌腺的腺细胞排列成相互吻合的细胞索,索间形成间隙,其中穿行着毛细血管。
( 肾上腺皮质 ) |
|
|
混合分泌
既能将分泌物释放到机体外,又能释放到机体内的腺体称为混合腺。肝脏和胰腺均属于混合腺。 |
|
|
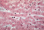
在肝脏中,内分泌功能(合成多种分子并释放到血液中)和外分泌功能(分泌胆汁)由同一种细胞——肝细胞完成。
肝细胞排列形成肝小叶,肝小叶内的肝细胞索被毛细血管分隔,且向中央静脉汇聚。 |
|
|
毛细血管(肝血窦)位于肝细胞索之间,内分泌产物直接释放到肝血窦中。
胆汁则释放到胆小管中——胆小管由相邻两个肝细胞的质膜凹陷形成。 |
|
| 胆小管汇集成肝脏的排泄管(胆管)。胆管位于肝小叶周边的结缔组织内,不同胆管的管径和管壁厚度存在差异。 | |
|
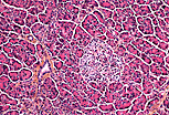
在胰腺中,内分泌和外分泌功能由不同的腺细胞完成。
内分泌细胞聚集形成圆形的细胞团(胰岛,即朗格汉斯岛),每个胰岛内的细胞排列成相互吻合的细胞索,索间间隙容纳毛细血管。 外分泌细胞排列形成腺泡,可分泌酶原(酶的前体)。 |
|