肾上腺位于肾脏的上极,由两种胚胎起源不同的内分泌组织共同构成:外周的肾上腺皮质和中央的肾上腺髓质。
肾上腺皮质与性腺起源相同,可利用胆固醇合成类固醇激素。从皮质外周向深部依次分为三个带:球状带、束状带和网状带。大体而言,球状带分泌盐皮质激素,调控电解质和体液的稳态;束状带和网状带分泌糖皮质激素(对糖、脂、蛋白质代谢起重要作用)以及雄激素(补充性腺的分泌)。
从胚胎学角度,肾上腺髓质与交感神经系统起源相同。因此,肾上腺髓质属于神经内分泌组织,可分泌血管活性胺类物质——肾上腺素和去甲肾上腺素。
本文仅以肾上腺皮质束状带为例,详细介绍这类索状、分泌脂类激素(类固醇激素)、外泌型的内分泌腺结构。
|
|
|
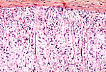
低倍镜下可见肾上腺分为两个区域:中央的肾上腺髓质和外周的肾上腺皮质。肾上腺外被致密结缔组织被膜,该被膜衍生的少量胶原纤维网架为腺细胞提供支撑。
|
|
|
此图显示肾上腺皮质的三个亚区(从外周向深部):薄且染色深的球状带、染色最浅的束状带、以及嗜酸性最强的网状带。
这些带的命名反映了腺细胞的排列方式:网状带由不规则吻合的细胞索网和成团的小腺细胞构成。
|
|
被膜下方的球状带由成团排列的圆形腺细胞构成。
束状带的腺细胞排列成细胞索,与被膜垂直,每条细胞索宽1~3个细胞。
这些细胞索即为分泌单位,索间有少量结缔组织间隔,其中穿行着血窦毛细血管,激素直接释放入血窦中。
|
|
|
此图显示束状带各组成成分的排列:腺细胞索相互平行,索间为血窦毛细血管。血窦腔面衬贴内皮细胞,可通过其长梭形的细胞核识别。
|
|
|
血窦毛细血管的管腔常被挤压变窄(毛细血管被"夹"在两条细胞索之间)。通常只能通过内皮细胞的长梭形细胞核来识别毛细血管的位置——这些细胞核标记出两条腺细胞索的边界。
腺细胞呈空泡状、海绵样外观。
|
|
|
此图为束状带海绵样腺细胞的光镜(MO)形态特征:这类细胞称为海绵样细胞(束状带细胞)。
这类细胞利用储存的非融合性脂质小滴中的胆固醇合成类固醇激素。在石蜡包埋过程中,脂质被溶解,使细胞呈现海绵样外观。细胞的细胞核位于中央,胞质内的纤细网状结构勾勒出已溶解的脂滴位置。
|