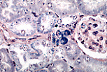
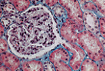
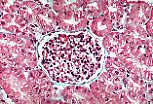
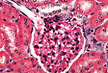
泌尿系统

第 1/4 页 查看页面 1 2 3 4