|
|
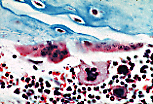
生长软骨是一层透明软骨横板,分隔骨骺与骨干。(1月龄犬股骨近端) |
|
|
生长软骨由软骨细胞构成,这些细胞在骨骺侧的活跃增殖形成与骨长轴平行的轴位同源细胞群。
生长软骨的骨干侧被伴随骨干结缔组织-血管芽的软骨破骨细胞吸收。这种破坏沿侵蚀线发生。 |
|
|
生长软骨从骨骺到骨干可分为不同区域。
紧邻骨骺的储备软骨区含有少量软骨细胞,这些细胞随后活跃增殖,形成柱状软骨的轴位同源细胞群。 在肥大软骨区,软骨细胞体积增大、肿胀并形成空泡。 最后一个区域称为肥大钙化软骨区,仅含软骨细胞碎片。 |
|
|
在侵蚀线处可见软骨破骨细胞,这些细胞覆盖在结缔组织-血管芽表面。
结缔组织-血管芽与软骨破骨细胞的共同作用使生长软骨骨干侧的钙化软骨薄隔崩解。 |
|
|
侵蚀线下方是所谓的成骨区。
在此处由生长软骨衍生的软骨基质上形成的骨小梁尚未矿化, 这些软骨内骨小梁 由类骨质构成。 在生长软骨的骨干侧,这些骨小梁发生矿化,此区域为骨化区。 |
|
|
骨小梁中央呈花边状、染色浅的部分表明存在软骨基质,而周边染色较深的部分对应由成骨细胞形成的骨组织,这些成骨细胞呈特征性的上皮样周边排列。
这种新生骨组织为 非板层骨 。 |
|
|
由生长软骨形成的软骨内骨小梁最终在骨干中因骨干腔的扩展而被破坏。
在该标本中,围绕骨小梁的骨髓细胞群内可见三个巨核细胞(参见 骨髓相关内容 )。 |