胸腺的大体结构

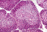
低倍镜下,胸腺的特征是呈小叶状外观,且细胞密度极高。
胸腺被结缔组织被膜包裹,由被膜发出的纤维性隔将胸腺分隔成多个未完全分离的小叶。
在组织切片(C.T.)中,小叶常呈几何形态。
外周染色较深的区域为皮质,包绕着中央染色较浅的髓质区。
由被膜发出的纤细结缔组织隔贯穿皮质。
髓质区常可见到嗜酸性的球形多细胞结构,即哈索尔小体(Hassal小体)。