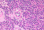
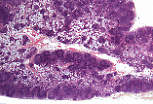
造血淋巴系统

第3页/共5页 查看页码 1 2 3 4 5