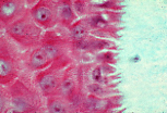
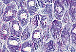
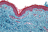
皮肤系统

第1页/共6页 查看页码 1 2 3 4 5 6